
年齡越大眼周皮膚就會越來越下垂
沒有好好的保養就會像我一樣眼皮鬆弛
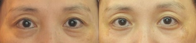
膠原蛋白流失的情況之下,看到眼周真的很驚悚
看久了實在是讓人受不了......終於決定要好好整治一下
朋友介紹我到長虹診所諮詢看看,問醫生有沒有什麼方式
能夠讓我的肌膚不要這樣鬆垮垮,醫生還挺有耐心
認真的和我解釋許多種方法,也很仔細的齡聽我的需求
最後決定用眼部拉皮來解決我的困擾
手術之前其實我既期待又怕受傷害,畢竟是手術
不過先前來診所前就有聽過蠻多人對診所的評價很好
因為開業的時間很久,所以醫生的經驗老道
不像現在許多醫美診我的醫生很年輕,技術上可能就略遜一籌
預約手術當天,醫生和護士看我有點緊張還來關心我
讓我感覺很安心也很放心的把我自己交給醫生
印象中手術大概三個多小時就結束,比我預想的還要快
護士很仔細告訴我傷口要怎麼樣保養
若是有不了解的地方她們還會很有耐心在解釋一次
原本休息一下想說我可以自己離開,護士看我狀況又讓我留下休息
她們很細心的照顧每個人的狀況,直到確定我身體沒問題才讓我離開
我覺得整體都非常棒!而且診所內還有提供餐點,還蠻好吃!!XD
就分享給大家啦
長虹診所→https://goo.gl/ktNH9G