
從來沒有想過我老公到的這把年紀還會需要做齒顎矯正
齒顎矯正就是市面上大家所謂的牙齒矯正
至於為何到了這把年紀還會需要做到齒顎矯正呢?
原因無他就是因為長期抽菸導致牙齦與牙齒接觸面有牙結石

牙齦有些發炎進而演變成牙周炎
常常聽人家說牙齒沒顧好~花錢花到老!!
是的!!真的到了嘴巴裡面的牙齒不健康才知道
保養清潔牙齒真得是一件很重要的事情
先來說說怎麼發現新華牙醫診所好了~
話說每天上下班騎摩托車都會經過新華牙醫診所
每天經過確沒有留意到台中北屯區那家診所
有天牙科診所門口發生車禍~光是一個小小路口就堵塞快半小時
一個多月之後有天上班就發現那家牙科診所頂樓居然高掛起"行車小心"的告示標語

頗讓人覺得診所有用心之處
後來就是這次老公牙齦發炎實在痛了幾天無法忍受
從彰化搬到台中西屯區好幾年若沒有真得很不舒服我老公幾乎很少去醫院看醫生
這次牙齦發炎程度嚴重到起了幾顆膿包~刷牙時會頻頻出血
連續出血一個禮拜想想不太好還是要看一下醫生

只好一直催促他抽空去讓醫師做檢查~他這個人就是你不催他就不會主動做
就這樣他一直忍到這次牙齦發炎才來到台中北屯區新華看診
因為很少看醫生去到牙科診所不曉得要先預約才不會久候
還好門診護士說我老公牙齒狀況沒有很嚴重可以在醫師空檔時幫忙安插
陪著我們到牙科診所看診的小寶坐沒兩分鐘就吵著要看手機
正愁沒有網路的時候~發現新華居然有提供免費Wifi服務還有小餅乾可以吃

感謝牙科有Wifi可以連線讓小寶看Youtube影片不然他又會在旁邊開始吵鬧搗蛋
好家在等著大約十五分鐘就換到老公進去治療
陳文杰醫師有很多患者找他做牙齒矯正
所以護士就特別替老公安排陳文杰醫師~在診後還可以順便諮詢齒顎矯正


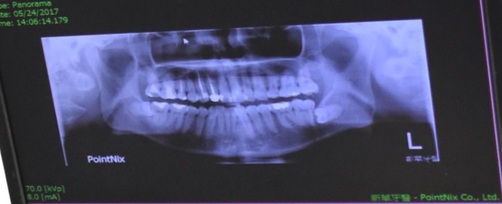
陳醫師看完老公的X光片後發現他的下顎大臼齒就是人人俗稱的智齒兩邊都是平躺著長
平躺著長!!對~~就是所謂的水平智齒
上次去的XX牙科看到老公水平智齒連動都不敢動~因為聽說很難拔
就因為那兩顆水平智齒清理不到才會三不五時蛀牙牙齦發炎
陳醫師看到老公長期抽菸發黃的牙齒後
就說要先幫老公洗牙再做牙齦膿泡的處理
處理發炎的地方時陳醫師手腳很輕
老公說他第一次覺得看牙沒有那麼可怕
至於水平智齒有兩種建議處置方式

一、透過牙齒矯正把智齒導正後做蛀牙治療這樣就可以減緩牙齦炎發生問題
同時可以調整下顎前面幾顆下門牙的歪斜
二、找時間來把兩顆水平智齒通通拔掉一勞永逸
只是已經歪斜的下顎牙齒在清潔上未來還是比較會有問題
加上平時有抽菸的習慣要避免牙齦炎真的會有難度
還在猶豫要不要做牙齒矯正陳醫師就交待站在一旁的護士領著我先去學習口腔清潔衛教
這是他們的衛教區後面就是照口腔的X光室
X光室一旁小角落就是廁所

因為有潔癖的關係所以對於廁所非常挑剔
新華的廁所整理得還算乾淨
裡面還擺上酒精可以讓人家擦拭馬桶
唯一的缺點就是有階梯高低差
差一點一不小心就"撲街"拉~~~

親切的護士妹妹對著我們一家一步一步要求我們學習如何好好刷牙才不會有牙結石
做完衛教之後護士妹妹就帶著我們一家大小上到二樓的諮詢室
說明牙齒矯正後續治療費用與分期方式
諮詢師說基本上他們的矯正分期方式是採用"做到哪裡付到哪裡的分期方式"
後面就是每次回診再慢慢給付剩餘費用就好
不用一次繳清~不管是牙齒矯正還是做植牙、假牙都是這樣的收費方式

有提供這樣的收費制度真得會比較容易提升來看診的意願度捏
諮詢師說若確認要採用牙齒矯正做治療的話可以先預約安排後面時間過來咬模

至於要做齒顎矯正的話市面上大家比較常見的有兩大類型
金屬型牙套-又細分為金屬牙套或是戴蒙牙套
隱形牙套-又分進口品牌隱適美與國內品牌SOV舒服美
每一款牙套與治療方式都會因為有沒有需要拔智齒
或是打骨釘而有所價格區動
這時候還蠻佩服他們家的諮詢師能夠對於各式各樣的治療方式如此熟絡
聽完諮詢師耐心介紹每款牙套優缺點後還說要我們回家後好好考慮
畢竟要做牙齒矯正是很長期的事情
能夠仔細評估瞭解對我們會比較好
聽到這一席話更讓人安心願意把牙齒交給專業牙科做治療
在還沒有去新華牙醫看牙之前我老公曾經去過家裡附近的一間黃XX診所
去年會跑去那間診所看牙實在是因為也是牙痛到一個不行才會去
診所內裝潢簡單走路大約五分鐘就可以到我家
只是在設備上似乎很復古!為什麼會說復古~光講照牙齒的X光室就可以發現
小到像廁所一樣的小房間~感覺很陰暗~踏進X光室隱約中還可以聞到發霉的味道
診所就在角落設置一個平台或擺張椅子掛上厚重隔離衣之後就開始拍X光片
坐上診檯後看到醫師看診台上還散落著前面患者所留下來的沾血棉花
老公說他問醫師: ㄟ...剛剛那位患者是拔牙嗎?好像還有棉花沒有清掉耶
醫師說 : 對!今天晚上患者很多還來不及清理乾淨
(醫師一邊回答我老公一邊帶著塑膠手套拿起沾血棉花往旁邊垃圾桶丟)
所以醫師在檢查過程有提醒我老公要做齒顎矯正來解決牙齒清潔問題
才不會不時有牙齦發炎起膿包產生
但聽我老公說他環顧四週環境後!感覺醫師對於衛生控管不太注重
縱使外面等後人潮人滿為患那又如何?
當他看完後牙之後還叫我以後不要再催他去看牙醫