
從小被媽媽要求要保養好牙齒
每半年都會定期到牙科做洗牙
昀蓁的牙醫師-林義城說我是個乖寶寶牙齒很健康幾乎沒有甚麼蛀牙
但我媽媽懂得要求小孩要保養自己的牙齒
她自己反而沒有一口好牙
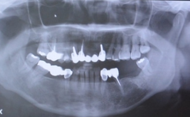
早期年代醫療沒有那麼發達
蛀牙治療方式就是牙齒蛀很深醫師就會建議拔掉
所以媽媽才近六十歲口腔裡面就有一半都是牙橋跟缺牙來支撐

時代的差距造就口腔健康與否
媽媽就沒有我那麼幸運…..
若不是央求媽媽正視牙齒問題她還想放任缺牙不去治療
這次治療我媽牙齒問題老哥派我全程監督陪著她一起去評估植牙療程
一起詢問以媽媽缺牙情況植牙治療費用要如何計算
本來考量媽媽可能要做植牙顆數很多在整體植牙價錢上會比較沉重
原想多比較幾家植牙費用價格…

反覆討論後我們還是回到台中北屯區新華牙科找林義城院長做植牙
既然林醫師貴為院長一職日後保養跟回診就比較不用擔心找不到醫師做處置

畢竟跑得了和尚跑不了廟~哈哈
《新華牙醫診所 林義城醫師》
Youtobe林醫師介紹>>https://youtu.be/6yRaOULd80E
臉書平台>>https://www.facebook.com/HsingHua.22473558/

且能勝任院長這項職務肯定也有過人醫療經驗值得所託付
林院長大媽媽才十來歲評估植牙療程當天和我媽一見如故
整個檢查過程中兩個人話匣子一開都在聊天
就是因為這份親切感我媽才放下心裡那塊沉重大石頭決定讓林醫師做植牙手術
詢問過程中護理師拿著植體(人工牙根)模型為我們母女倆講解品牌差異性
這時候才知道原來要做植牙用的人工牙根-植體有分那麼多種類
各國廠牌看得眼花撩亂

植牙體系彷彿一個小型聯合國有來自台灣、德國、瑞士、韓國…很多種國家品牌
每個品牌各有優劣勢、植體價格同樣差距好幾萬元

經過幾番家庭會議討論後才決定植牙品牌、價錢
這次我媽植牙手術因為一次要做四顆護理師就建議我跟著一起陪同
手術前一天我媽還接到牙科診所撥電話過來說要先吃飽再過去
一般做完植牙手術之後會比較沒有胃口
牙科預約電話>>04-22473558 
牙科地址>>台中市北屯區梅川東路五段296號
網路線上諮詢>>https://lihi1.com/y9Xf6

隔天下午三點準時到院後
護理師帶著媽媽先是在一樓診間做洗牙以及口腔麻醉
接著就上到二樓獨立治療室裡面替我媽戴上心跳偵測器

量測血壓情況、臉部大幅度做消毒避免手術感染
光看我媽被這樣處理站在手術室外面都緊張了起來
接著林院長面帶微笑走向治療室親切跟昀蓁點頭後就開始換裝
隆重裝備、陣容龐大、一位植牙醫師搭配兩個護理師在旁協助
透過玻璃門看著這一切進行感覺像是看電影一般
這趟植牙療程手術比昀蓁想得還要快速
原本以為病患進到獨立診間做治療會有個半身麻醉之類
結果護士說只有嘴巴裡面要做手術的位置會施打麻醉藥
但是在外面觀看的我卻感覺植牙手術規模頗具陣仗
林院長戴上手術帽、口罩外還身穿著藍色手術衣
一旁協助的護理師一樣比照辦理全副武裝


護理師怕我在外等候無聊特別安排昀蓁到VIP恢復室裏面等候媽媽
VIP恢復室裡面擺放著55吋大電視
才開啟電視看沒多久就見我媽雙頰敷著冰敷袋走進來
還來不及回神護理師就走過來跟我交代植牙手術後所有注意事項
把術後到家要注意的保養事項簡單叮嚀一遍
例如 : 過熱的湯品、太辣、油炸的、有刺激性的食物在傷口為癒合前都要盡量避免
前期幾週刷牙時手術過後的地方也要盡量避開
鉅細靡遺說了很多~還好護士後來拿張小抄給我看
不然那麼多細節實在很難記住
另外還交代隔天下午回診來乘坐高壓氧艙對長輩植牙之後傷口復原會有幫助
新華牙科不但醫師厲害服務還那麼好
若不是這次媽媽做植牙深入治療平常我來洗牙幾乎沒有機會體驗到

本想我媽做完手術可能會虛弱不堪
沒想到她竟然還想聊天…看到都傻眼啦!!
到家後麻藥漸退我媽才又擔心得拿起冰敷袋往臉上猛敷
因為怕麻藥退會疼~那個晚上不到八點我媽就已經睡著
隔天起床怕她老人家飲食不方便還特地準備清粥小菜
睡覺之後這個前一天才做完植牙手術的老媽子竟然想去運動
還好我記得醫師有交代術後一周之內盡量不要做激烈運動、泡溫泉
趕緊拉住她在家好好休息
我媽竟然說:『林義城醫師很厲害,做上四顆植牙今天已經不會痛也沒有不舒服』
看見家人對於這次口腔治療的醫師讚許很開心自己沒有找錯牙科及醫師
要用一輩子的牙齒!慎選具有權威專業的牙醫師準沒錯!
