
其實市面上有好多種牙齒美白的方式
到底哪一種美白方式適合自己呢??
為了想要擁有一口潔白牙齒
小蛙我還特別去牙科診所諮詢醫師蒐集資料
了解每種牙齒美白方式與費用價格
首先~~
在美白前我一定要跟大家叮嚀幾件事情!!
1. 想要牙齒潔白,在美白前一定務必要先洗牙,
不然有牙結石附著在牙齒上或是牙周病
怎麼美白牙齒都會無效喲!

像今天的洗牙檢查超植曾醫師就發現在小蛙臼齒小縫縫裡
躲著一顆小牙結石呢!
2. 除了洗牙外,有蛀牙的朋友們美白前也要小心
網路上有很多標示不明確的美白藥劑
使用後輕者有可能傷害到牙齦
嚴重的還有可能因為口腔內的蛀牙未補
藥劑流入蛀牙處導致牙髓神經壞死的都有
雖然我不是牙科護理出身
但上網爬文跟諮詢超植牙科醫師這一點小蛙還是很認真的
所以為了我的牙齒潔白幸福我可是很認真做功課哩
重要的小提醒已經講過了
那就進入正題開始介紹牙齒美白的幾種方式吧!

第一種是居家美白
方法: 要美白前需請牙醫師幫忙製做美白牙套
回家後將藥劑擠在牙套中
再戴上牙套約20-40分鐘牙齒就會逐漸變亮變白
維時時間約2-3天左右
不過現在網路上有很多便宜的美白產品
藥劑來路很不明確
建議還是盡量尋求醫師給予建議會比較安全喔
第二種是陶瓷貼片
方法: 利用陶瓷貼片貼住唇側牙齒
採用酸蝕黏合方式將0.2-0.5mm的瓷片接在牙齒上
能修復受損或是較不美觀的牙齒
不過若夜間睡眠時有磨牙習慣的患者會比較不適用於這樣的美白方式
因為再磨牙過程可能會造成瓷片脫落問題產生
第三種是噴砂美白
方法: 這種美白方式也是屬於比較表像的美白方式
醫師主要是利用高壓轉速噴砂機來清洗牙齒表面
有點像是在牙齒上進行拋光原理
基本上能稍微去除牙齒表面飲食所造成的沉澱色素
能夠維持的時間也不太長

第四種是冷光美白
方法: 醫師會先在牙齒表面上塗抹一層美白藥劑,
再利用藍光的照射來產生氧化還原作用
能夠改善牙齒上深層累積已久的色素
長期愛飲用咖啡、濃茶或吸菸的患者
會比較推薦採用冷光美白牙齒
維持時間大約半年至一年左右
以上四種美白方式各有優缺點
效果部份也會因為每個人的飲食習慣而有所改變
想要維持一口潔白牙齒
當然能避免色素感較重的食物是最好的方式囉

透過兩個禮拜的爬文看診整理出上面這些資料
最後考量到牙齒長期性美觀問題
小蛙還是找了當初幫我矯正牙齒的超植牙科"曾仁芬"醫師幫我做牙齒冷光美白
經由習慣熟悉的醫師替我把關牙齒也會比較放心
加上診所的設備乾淨完善也是選擇的其中一項原因

再來說明一下冷光美白整個流程
一、美白前1-2周需先進行洗牙與檢查蛀牙
(清除牙結石來避免牙結石影響美白效果)

二、美白當天醫師會幫忙做牙齒得徹底清潔

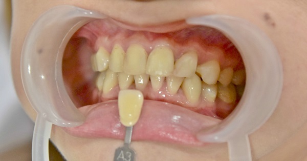
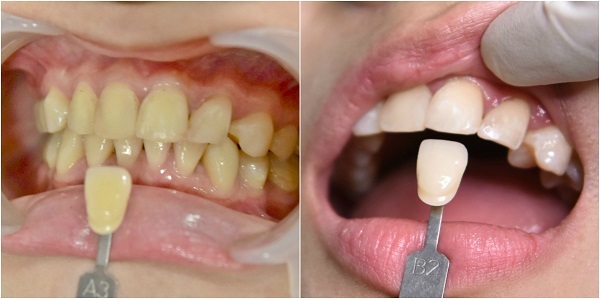
三、比對牙齒顏色與預估術後顏色+張口器
(撐開整個嘴巴會比較好上藥劑)
四、戴上護目鏡
(避免照攝的藍光刺激到眼睛)
五、在照美白燈前護士會幫忙在嘴唇上塗上一層護唇膏來保護嘴唇
(主要是在過程中會嘴巴要持續張開40-60分鐘照美白光容易嘴唇乾裂)
六、醫師會在口腔內四週放入棉球避免口水過多來影響藥劑

七、在牙齦上塗上牙齦保護劑
(這樣牙齒美白劑就不會傷到牙齦)

八、開始上牙齒美白藥劑囉~均勻塗抹藥劑於上12下12顆牙齒
(一般微笑都會看到第一大臼齒,所以會做上下各10-12顆牙齒美白)

九、進入美白冷光照齒步驟
(每次照10-15分鐘會停一下比對牙齒顏色及補充美白劑
醫師會評估每個人美白效果來調整時間長短)

十、輕洗美白劑囉~等下就會有白亮亮的牙齒啦~
十一、剛美白完的牙齒會稍微有些酸酸感,這時候醫師會幫忙塗上氟來保護牙齒
十二、大功告成!!完成冷光美白囉

美白後的牙齒是不是微笑起來很美麗呢!!
真的會覺得變得很有自信說
雖然整個冷光美白的過程時間很長
但能換回一口潔白牙齒超級值得

超植牙醫曾醫師有再三叮嚀在做完冷光美白後一個月之內最好禁止深色食物
或是易著色食物
舉例來說:咖啡/紅龍果/濃茶/咖哩/櫻桃....等都是易著色食物
不然好不容易美白的牙齒就會浪費了

若過一段時間後想要延長冷光美白效果
護士有跟我介紹說可以搭配居家美白一起
一般冷光美白可以維持半年到一年以上
過半年後若覺得自己牙齒不夠白
就可以在家做居家美白來調整牙齒白度
所以冷光+居家美白
兩項美白一起做診所就有給小蛙折扣喔!!
↓小蛙美白牙科哪裡去↓
有興趣的人可以上網去Google搜尋喔

