
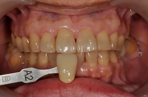
一直以來我都很注重牙齒的清潔以及保養,為了給別人好印象之外拍照也會好看很多,愛喝茶的原因導致我的牙齒看起來特別黃,有天朋友介紹我來明日美做冷光牙齒美白,過一段時間他就會來這保養,第一次來到這不免有些緊張也很興奮

進到診所本不得不說他們的環境設計得好漂亮,給人有種很溫暖的感覺,看牙醫一點也不會覺得很緊張,做冷光美白之前吳培智醫生先詳細解說冷光美白療程,吳培智醫生有說冷光檢查必須要在沒有蛀牙的情況下才能做,他很認真的幫我檢查,仔細的看診,還好前些日子我才去看牙醫所以沒有蛀牙XD

看看我這泛黃的牙齒!!看了我都覺得羞恥....剛開始會先在我牙齒上面塗美白劑,過段時間就會躺著,吳培智醫生會很溫柔的要我不要擔心,剛開始照射時會覺得有點酸,不過是還可以忍受的程度,如果有感到任何不適就馬上告知醫護人員,他們會依照狀況來做調整

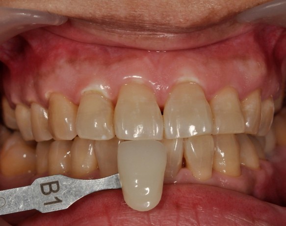
術前和術後相比真的差很多,沒有到非常白卻已經很滿足,不然做得太死白看起來也會很假,做冷光美白真的要審慎評估,找專業的牙醫診所才是最安全也比較有保障,做完後櫃檯很親切的提醒三天內以白色食物為主,想和我一樣擁有一口潔白牙齒的人可以去給醫生諮詢喔!!
官網:https://goo.gl/j7qp2D
冷光美白: https://goo.gl/wb8s1R
電話:02-27318833
地址:台北市大安區忠孝東路4段210號5樓