
我終於下定決心要做了牙齒矯正啦!
自從去年暑假看到大一的同學Alex跑去超植牙醫做矯正後
由小胖子變成大型男我就超級羨慕的
今年好不容易打工身邊存了一些錢
趕緊請Alex介紹我他去的牙科醫院詢問一下
想說搭著朋友介紹或許診所價錢可以給我優惠一點
果然同學的名號頗有幫助
加上牙科診所正在大力推廣"隱形牙套"
希望這樣便利的矯正方式能夠更為普及
當下了給我相當優惠的價格

既然講到牙套價格的優惠點
那先跟大家稍為介紹一下市面上主要幾款牙齒矯正的方式

第一種 最傳統的金屬固定牙套矯正器
雖然價格低矯正速度快但容易造成蛀牙和牙齒脫鈣的後遺症
最主要清潔性與外觀不佳
漸漸大家也比較少選擇這樣的矯正方式
價格大約落在7-12萬區間
聽說在調整牙套後隔天飲食上都會相當痠痛
如下圖片左邊的綁上很多線的假牙款就是金屬牙套

第二種 舌側固定矯正器
價位與矯正時間中等
具有隱形的效果但在牙齒清潔上也不是那麼便利
費用約略在8-17萬之間
這種矯正方式也比較少人做

第三種 優點最多的 隱形牙套
在配戴上外觀不易被發現就像沒有戴矯正器一樣
清潔時可以隨時將牙套取下刷牙後再戴上
也不會有讓人害怕的打骨釘問題
感謝大學同學介紹
這次選擇的隱形牙套牙科診所只收我跟舌側矯正器差不多的價格
難怪網路上那麼多正妹都開始選擇這樣的方式矯正

諮詢師還說因為我是在學生的關係
隱形牙套矯正費用就讓我做分期付款
頭期款只要先付牙套1/4的費用
其餘就等後續每個月回診再一次一次慢慢付
超植牙醫的曾仁芬醫師幫我評估後說
我牙齒矯正期約略需要一年半左右的時間
所以費用共攤提15期給付就可以完成整個矯正計畫啦!
現在才大二的我牙齒矯正完剛好完成大學學業!!

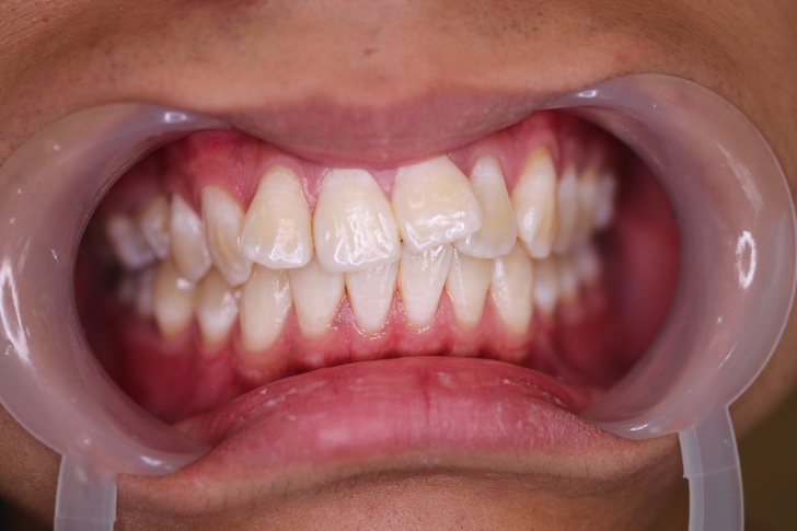
先來照片讓大家瞧瞧我那個較為歪斜的門牙

是不是看了之後就知道為什麼我想矯正牙齒啦!!
坦白說我自己是覺得現在自己年紀還很輕
身體恢復力比較好相對在矯正牙齒上就不用花上那麼長時間
當然趁自己開始打工有收入對自己好一點囉~

不過同學都問我明明在台中霧峰的朝陽科技大學上課
為什麼要大老遠跑到遠在北區的牙科矯正??
我索性拿起算盤好好跟同學換算
霧峰中正路上牙科那麼多但環境都沒有北區這間來得好

在去北區這間牙科之前我有稍微詢問過幾家霧峰牙科矯正價格
算下來費用上還是Alex介紹的超植牙醫比較實惠
且這家診所才開業不到三年
所有設備與環境上都相當新穎
一樓是掛號台和候診區

那天在他們家候診區沖泡了杯黑咖啡還蠻好喝~~推

至於看診的地方位在二樓
上樓前親切的護士會拿消毒過的室內拖鞋給我換上
換鞋後才能上去看診的喔!

這次替我看診的醫師是具有多年矯正經驗的曾仁芬醫師
那天和她閒聊才知道她至少替上百個患者做過牙齒矯正
若在矯正這一塊醫師沒有豐富的經驗
患者的矯正期就會拖很久....
很慶幸我挑對醫生來做矯正

先來跟大家分享做牙套前的咬模過程
在牙模還沒有咬上前還很帥氣
咬上牙模後整個帥氣的樣子都沒有了啊!!!

咬好的齒模↓
據說我的隱形牙套就是用這個牙模+3D立體模擬做出來的
在咬模階段最辛苦的就是口腔照拍攝
因為護士會先用口腔固定器把牙口擴張到最大值
好拍攝到牙齒每一個角度才能做3D模擬

再來就是X光片拍攝

前期的步驟大約到這裡就差不多了
再來就是兩個禮拜後的隱形牙套試戴啦~

不過當醫師第一次替我戴上隱形牙套的感覺真得很不習慣
感覺很像牙齒沾上東西有點異物感
但過一段時間其實又感覺還好

隱形牙套果然很方便且有迷人魅力
當天回家吃東西沒兩下子我就忘記牙套的存在
對於怕麻煩事情的我來說
隱形牙套還少了飯後清潔牙套的問題
如果沒有特別說同學還不知道我有戴上牙套呢!!

接下來還有一年多的時間要與隱形牙套為伍
我一定會遵照超植牙醫曾醫師的話
每天乖乖戴上隱形牙套至少22小時
努力換回迷人的笑容

牙齒矯正哪裡去→
台中牙醫診所-超植牙醫
電話: 04-22085801
地址: 台中市北區進化北路416號
臉書: https://goo.gl/UvdyhQ