
還在天天喝手搖茶跟咖啡嗎?你們知不知道這樣的飲食習慣可會造成牙齒色素沉澱日漸變黃呀!
然後像我們這樣的小資族,上班時最怕開口給客戶或是主管留下不好的印象!
有時一個燦爛笑容不知能為公司形象加分多少!
畢竟我的工作是常常接觸人群的服務業!門面是很重要的!

在眾多同事的推薦下我找到台中北區超植牙科來做牙齒美白!
冷光美白一聽就覺得超級厲害!
讓全口變白牙就是他們家服務的超級強項啦!
聽說同事說冷光美白是非常先進和安全的治療過程,
也比較沒有侵入性治療,
像我這麼怕痛又怕牙酸~聽完真是超心動。

雖然是第一次在牙科做牙齒冷光美白,
跟坊間網美推薦的價格有些差距,
但是聽說維持性相當高,
若好好顧至少可以維持一年以上,

換算下來每2-3個月就要敗一次居家美白套組,
冷光美白一次性的價格還是比較划算~~
台中牙科診所-超植牙醫
電話: 04-22085801
地址: 台中市北區進化北路416號
臉書: https://goo.gl/UvdyhQ

接下來就是進入牙齒美白諮詢啦!
諮詢師跟我說,為確保患者在美白過程不傷及牙齦,
他們院內會先施行全口的X光口腔照攝評估,
然後做蛀牙治療檢查,補完蛀牙最快隔一個禮拜就可以進行冷光美白。

牙齒美白當天會進行清潔程序,
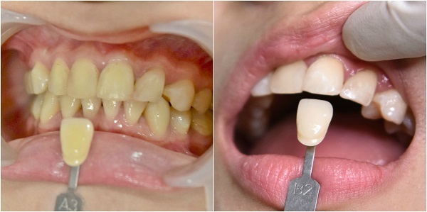
然後是色板對色、接著是牙齦保護程序以及塗抹美白藥劑後用冷光機照射每8 分鐘 一次,
照射使用 2~3 次會去掉美白藥劑及牙齦保護劑,
大量沖水直接檢視治療後的美白效果!

護士小姐向我推薦她們超植優秀團隊曾仁芬醫師!
於是我就掛了曾仁芬醫師的號先做蛀牙檢查!
來到看診台前我可是既期待又緊張的!
不過仁芬醫生親切笑容,好似有溫暖光輝呢!

看到她的笑容更讓我深信自己也能像她一樣有張天使般笑容!
醫師自己牙齒保健就是最好的品質代言喔!
仁芬醫生跟我說我要先去做個X光掃描!

於是我在其他護士小姐引領之下我們去做全口牙齒X光評估照攝!
一方面是要了解我的牙齒狀況適不適合做美白的療程,
若有牙結石或嚴重蛀牙可能就要小心為妙了!
幸好!檢查出來我是可以做冷光美白療程!真的超開心!
隔週來到台中北區牙科曾醫師替我做牙齒美白前,
護士先是進行一連串冷光美白解說與衛教,

深怕我在做完美白之後忘記要如何好好保養牙齒。
仁芬醫生治療過程中趁著治療空檔會和我稍微聊聊天讓我心情很放鬆!
真像是個親切的大姊姊般,舒緩了等等塗抹冷光藥劑時的緊張情緒!

首先要先進行清潔程序─洗牙,洗牙是這整套療程最不會讓下巴會酸的程序之一,
後面套上括口器要開始美白下巴絕對會痠到一個不行!
但是為了要漂亮的一口牙齒,我也是拚了啊!
洗完牙齒後進入重頭戲~醫師再來要先塗抹牙齦保護劑徹底將牙齦與美白藥劑做一個隔絕,塗抹過程中院內撥放著輕音樂又躺在舒適診療椅上是非常放鬆地!

上藥劑的過程中,能感覺到仁芬醫生非常細心與溫柔呢!
我又再次感受到仁芬醫生服務的用心,
接下來就是冷光照射啦 !
在照光冷光前醫師還特別叮嚀我,如果累了可以小睡一會,
如果有痠疼不適感只要揮揮手,她就會立刻飛奔過來替我檢查!

正式做牙齒冷光時又是個下巴無敵酸的循環啦 !
張開嘴8分鐘一次,2-3個ROUND,真得除了很酸沒別的啦 !
不過為了要有跟仁芬醫生一樣燦爛笑容,我一定會認真撐完整個療程!
好不容易大功告成!我的燦爛潔白笑容又次再重現!
拿出鏡子!真的是HEN滿意呢!冷光美白價格也是很滿意!實在值得一推~~
[分享] 【牙齒冷光美白讓笑容燦爛,冷光美白白度維持長】台中牙齒美白推薦來超植
生活 · dominic634 · 發表於 2018-05-29 18:41 · · 檢舉
