
產後治療牙齒到現在也有大半年了!
生完ㄆㄤㄆㄤ,鈣質大量流失,聽人家說「生個孩子,掉顆牙」,我當時牙齒陸陸續續斷了四顆!連我吃最愛吃的東西都有問題了的時候,我才發現事情大條了!真的相當緊張,因為除了美觀之外,加上很愛吃,沒有牙齒了吃東西怎麼辦?年輕的時候,我從來沒有正視過牙齒的重要性!有時睡前懶惰就忘了刷牙,蛀牙了預約不到牙醫就不去看,導致我的牙齒留下了許多不定時炸彈,什麼時候會牙痛造成很多的擔心和不便!

很幸運的,我遇到了明日美牙醫的吳培智醫師,他非常非常的細心,我相信剛開始看到我牙齒的慘狀,醫師一定有暈一下,我覺得很好的是,明日美大多是採取預約制,不會有現場排隊等一兩個小時,或是臨時被取消預約的問題,加上非常重視病人療程與隱私,讓我這口爛牙還有個小秘密花園的港覺!

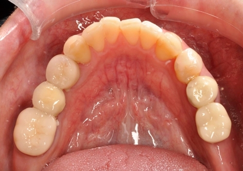
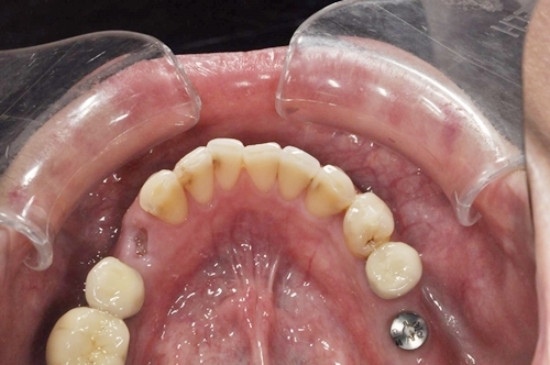
而吳醫師也告訴我重建牙齒比治療牙齒更需要有耐心、不能急!所以我每一顆牙齒補骨粉後都等上了差不多三個月到六個月的時間,就是為了讓骨粉長好,才能進行植牙手術,植牙之後的「根基才會穩固」!

吳醫師非常細心和謹慎,他說這樣「分階段植牙」才能確保牙齒可以用很久,簡直是我牙齒的救世主~The Savior of my teeth
我從下個月開始要進行上排的植牙手術了,希望很快我的牙齒咀嚼功能能恢復到年輕的時候
明日美牙醫診所資訊
電話:02-2731-8833
地址:台北市大安區忠孝東路四段210號5樓號(近捷運忠孝敦化站)
關於牙周美容:https://goo.gl/9cg7RJ
#明日美診所#吳培智醫師#植牙過程#植牙推薦#牙齒治療