老爸的牙齒一直都是很可怕的狀態,查了很多間中部牙醫的推薦
找到這間展悅牙醫,諮詢後就陪著老爸來治療囉~
到了展悅的門口就能清楚看到裡面樣子,不會讓人覺得嚴肅有壓力

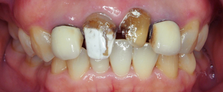
一路記錄老爸的治療歷程,大家看看他的牙齒蛀的有多嚴重,牙齒都快掉下來了
展悅讓我很驚豔的是先進設備,跟一般牙醫不太一樣不是用樹酯補牙
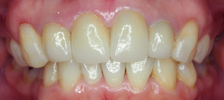
利用3D的機器模擬牙齒的樣子,這種方式是陶瓷補牙,讓老爸牙齒變的好乾淨啊~
醫生非常的專業,耐心的解釋這療程的經過,還有完成後需要如何好好保養牙齒
加上環境非常讓人感到安心,不會讓人覺得害怕,讓老爸第一次不排斥看牙齒
>>展悅牙醫的網站
看老爸牙齒變的很美,自己也想要來治療了

