
時常看到網路上社團在討論關於植牙術後種種心得
植牙價格很貴啦!又或者是植牙的醫師不好不會為病患著想
要不然就是診所規模售後服務不好....等等問題

有時候不得不說挑選對牙科診所及植牙權威醫師是件重要的事情
網友推薦、家人推薦、朋友推薦…做植牙前總免不了四處詢問
我個人是在兩年多前在台中北屯區新華牙醫診所做植牙手術
當時新華牙科在台中北屯區域裡算是新開幕不久頗有規模的一家牙科診所
診所剛好在梅川東路五段一個巷子轉角

到院看診完全不用擔心找車位問題
門口也能方便停車,臨時暫停紅線櫃台小護士還會幫忙看著
候診時院內撥放的輕音樂和擺放桌上雜誌書報總讓等待心情可以稍做放鬆

診所院內有位赫赫有名植牙權威醫師叫朱裕華醫師
他也是替我做門牙微創植牙的手術醫師

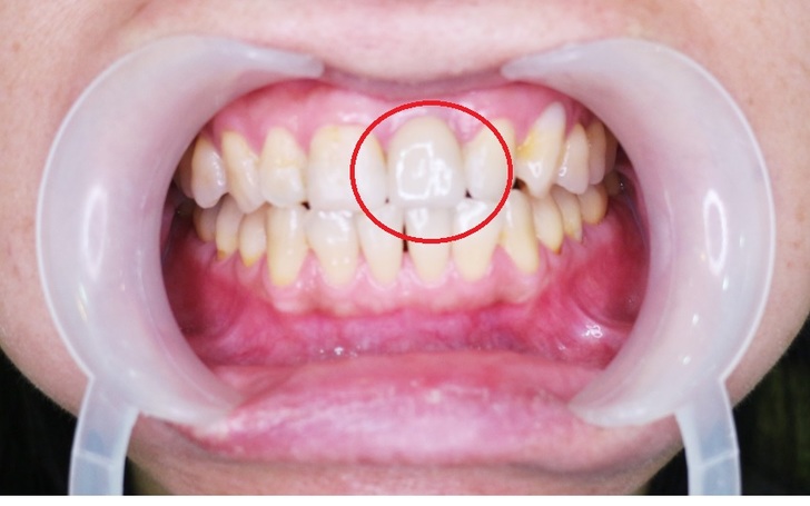
會興起做植牙念頭主要是門牙做過根管治療
門牙做完根管治療後戴著保護用牙套已近十年
平日吃飯後雖有定期刷牙清潔
但依舊免不了牙菌斑侵襲造成牙根損傷
即使時常刷牙卻還是容易有輕微口臭
朱醫師為我拆下牙套後裡面牙根已爛得不像話
難怪就連有固定刷牙還是有口臭問題存在
看著爛到不行的牙根毅然決然請朱醫師盡快為我安排時間植牙
今年才四十出頭歲考量這顆門牙還要使用至少二三十年以上
二話不說就決定挑選德國品牌植牙做牙根

在牙科市場上植體普遍分成”韓國/德國/台灣/大陸/美國”這幾個體系
會特別挑選德國品牌植體也是因為希望牙根能長久性使用
手術當天當然也是抱著忐忑不安的心情踏上牙科診所二樓獨立手術室
進到手術房後躺在診檯上護士先用碘酒為我做口腔消毒
再將手術專用隔離布鋪蓋在臉上

只留下嘴巴位置並交代我需要用嘴巴來進行呼吸
張開嘴巴等候朱裕華醫師到來的心情頗為複雜
當朱醫師在牙齦上注射麻醉劑之後
瞬間腦袋一片空白隱約覺得嘴巴有微微觸感
完全不曉得醫師在嘴巴裡面做了些甚麼
聽說朱醫師為了降低牙齦傷口出血量還特別使用水雷射器械做植牙手術
歷時大約半小時左右就完成植牙植體手術
剛從診療台上爬起像是睡了一個午覺

朱醫師全副武裝-戴著口罩+手術帽+手術衣扶著剛完成手術的我站起來
不時還耳提面命交代回家千萬不能刷牙漱口
若想要刷牙漱口則要避開植牙傷口
不然植牙位置傷口將會難以癒合
離開手術室小護士便帶著我到一旁恢復室歇著等待口內麻藥退散
並且拿著一只冰敷袋交至手中讓做手術後臉部做冰敷以減緩傷口不適
下樓後護士立即為我安排隔天來院做”高壓氧艙”幫助術後傷口癒合復原

完成植牙手術這兩年目前在飲食大致上都算蠻能適應的
只有剛做完手術那幾天比較有異物感需要稍微適應
到目前這兩年裡面吃東西幾乎沒有太大問題
比較要注意的就是口腔清潔跟定期回診
朱醫師說人工植牙雖然是假牙的一種
但若沒有照顧好也會有牙周病
一旦牙齦生病植體穩固性就會變差
所以定期回診讓醫師做口腔檢查真得很重要
托朱醫師的好醫術,上牙科做例行檢查、洗牙都很安心
讓朱醫師洗牙不旦洗得很乾淨
而且不會痛!更沒有網友所說的洗牙會出血這個問題
蠻感謝朱裕華醫師權威性醫療技術
使原本網友口中唯恐不及的植牙醫療變得簡單又輕鬆
「植牙醫師推薦朱裕華醫師,微創植牙選擇多、價格公道」推薦台中新華牙科
生活 · Cornell746 · 發表於 2018-09-27 08:44 · · 檢舉