
當挑選牙醫診所大家會注意甚麼地方呢??
會注意牙科治療價錢??牙科診所環境??
還是牙科醫師資歷與專業呢??
我們家的人比較隨興所以都會以便利性為主
價錢、環境、醫師資歷在我們家就變得沒有那麼重要
只要離家近或是診所乾淨就好

在北屯區松竹路上居住將近二十年時間
一直都在離家不遠的幾家牙科看診~這一看就是十來年
直到最近我爸說他刷牙時牙齦又開始流血他去診所看過診但情況依舊沒有改善

講到我爸牙周病這個問題已經有很多年
也換過幾間牙醫診所看牙周但始終沒有好好根治
一部分跟爸爸生活作息有關
一部分也跟老爸飲食衛生習慣有關
我爸今年六十來歲口腔裡面缺牙不多
平日卻不太怎麼做刷牙清潔遺傳阿嬤一口好牙
所以他雖沒有甚麼嚴重蛀牙卻有牙周病問題

他的牙根總有黃漬沉積像是喝了很多茶跟吃檳榔一樣
因為牙周病關係牙齦萎縮牙根也比一般人還要長一些
年紀越大牙根狀況越明顯
回家吃飯時跟我們提起牙周病又犯
才用手機幫他Google在家附近還有沒有不錯的牙科推薦
用網頁瀏覽幾家台中北屯區牙科
原本老爸百般不願意覺得不用換家看
我跟弟弟氣到不停狂念老爸哪有人刷牙牙齒經常出血治不好還不換醫院的

老爸凹不過我們兩個碎念這才換到北屯區梅川東路上新華牙科看診
一決定換家看牙後馬上撥電話到牙科診所詢問第一次去看診能不能掛號
接電話的小護士非常親切詢問牙齒怎麼了??想要預約什麼時段?
很快速幫老爸安排後天下午三點半看診
怕我爸跟醫師講得不夠詳細趕緊請好特休假期陪老爸後天下午看診
從松竹路轉進梅川東路五段沒一分鐘就可以看到右手邊的新華牙科診所
門口懸掛著大大紅色布條”榮獲中華民國植牙安全學會”推薦植牙診所

光這樣看起來就感覺頗為厲害醫師治療技術應該不錯
診所裡面看診環境明亮又乾淨櫃台一旁的獎牌讓人對於醫師專業信任度又再大大提升
◎◎新華牙醫診所◎◎
牙科主治醫師 林義城
看診時間 周一至周六 早上9:00-晚上21:30
預約專線 04-22473558
牙科院址 台中市北屯區梅川東路五段296號(轉角處好停車)
LINE@ ID @fts7380j
陪著我爸進到診間後坐上診療台林義城醫師先是看一下X光片
再拿著口腔鏡環視我爸口腔牙齒情況
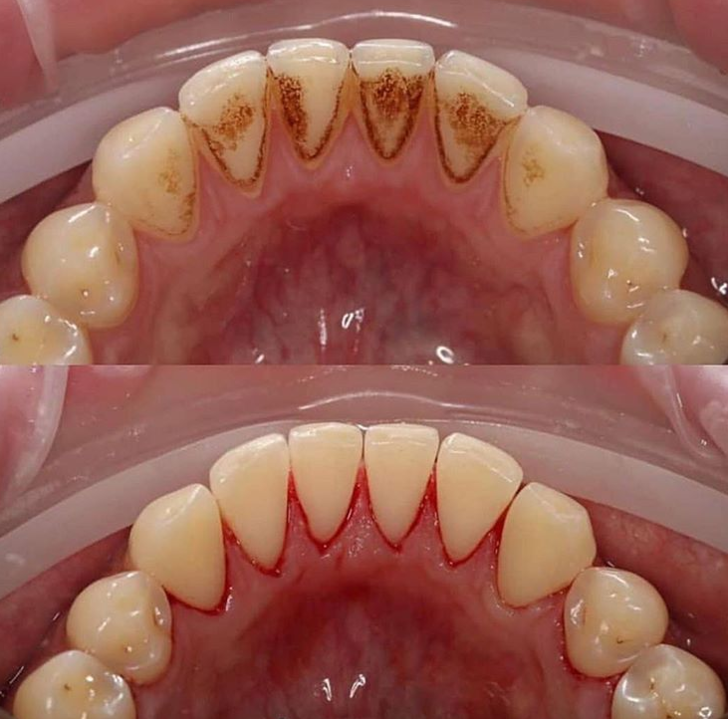
在牙齒跟牙齦之間刮除不少牙結石下來

轉頭詢問我爸爸是不是很久沒有做牙齒檢查??他牙齒上有不少牙結石沒有清除
被問一個我滿臉狐疑~~明明爸爸前兩個禮拜才上牙科看診過
林醫師轉身拿起噴頭先是用力替爸爸仔細清除牙齒上那些附著多時的牙結石
站在一旁的我看到那些碎落白灰碎片好生訝異
醫師一邊替爸爸洗牙一邊說明
因為爸爸口腔清潔度不足牙結石附著很多
才會牙周病一直沒有好
稍待清洗階段會有微出血狀態都是正常現象
等下洗好牙稍微漱口到家後口腔清潔要落實這樣才能避免牙周病逐漸嚴重問題
記得每半年要定期回診檢查

果然洗完牙之後我爸牙齒瞬間白很多
在牙根跟牙齦交接處那些黃垢雖然還有一些
但已經比原來那些深到咖啡色的黃垢比較起來差很多
回家前櫃台小護士還拿出一罐漱口水給我們交代爸爸
到家每天清潔完牙齒記得用漱口水再漱過這樣才能日漸根除牙周病
假如再家裡有牙齒上任何清潔或是保養問題
都可以隨時加入他們官方LINE@或是上到臉書詢問
新華牙科都有專人可以幫忙做諮詢服務
簡直就像是來到SPA醫美診所一樣
轉身要踏出診所時護士還塞了一本2019年桌曆給我
第一次體驗到牙科診所也有這麼的服務品質
偶而換家牙科診所看診就像換家餐廳吃飯讓人會有不同體驗
[其他] 牙周病治療才能做植牙、牙齒矯正∣台中牙科洗牙不痛價錢合理∣洗牙清牙結石推薦林醫師
生活 · Cornell746 · 發表於 2019-01-21 13:43 · · 檢舉