
記得對缺牙開始感到不安,約是在一年多前,其實從學生時代到出社會,蛀牙所帶來的不適總在無形之間默默發生,乍聽之下跟一般人所面臨的問題看似沒什麼兩樣,但這也說明自己並沒有在牙齒健檢跟保健上多做留意,會要面臨到要做根管治療這個動作,往往是因為蛀牙情況無法挽就的地步,牙醫師才會在進行根管治療或檢查時宣判需要拔牙。

蛀牙這個現象在出社會到香港常駐工作後更是嚴重,因為忙碌、沒時間返台這看似正當理由,其實在很多時候有一部份也是自己不敢坐上如同拷問台的牙醫看診台,所以一旦治療過一次蛀牙,即使牙醫診所會定時提醒我回診洗牙,下次我再踏入診所時,一定又是牙痛到要人命的時候,然後因近兩年牙齒沒有出現異常,更是完全選擇性遺忘這件事,直到一年多前,小臼齒因為病入膏肓牙齒一塊塊在我日常飲食過程當中片片碎落,直到在香港被牙醫師告知牙齒要被拔除時,才開始重視缺牙這個問題。
在拔牙術前聽聞牙醫師說小臼齒因為蛀化情況太過嚴重必須拔除時,我終於因為對牙齒的未來感到強烈不安而開口詢問:「這樣下去,我上排牙齒不就快沒了?」
會促使我提出這一問不僅是本次蛀掉小臼齒這件事,而是其他蛀牙情況並不是最嚴重,所以先處理小臼齒這顆魔王!意思就是說,剩下尚未根治的蛀牙,往後也會變成不定時炸彈,屆時我的口腔缺牙狀況就會越來越明顯!

小臼齒被拔除之後,雖然一樣須歷經忙碌的生活,我開始抽出一些時間找尋能夠把口腔內缺牙給補上,重拾「過往美好笑容」的方法。
最後在聽聞朋友與網路上的不少大力推薦評價下,終於,讓我在幾個月前返回臺灣休假時鼓起勇氣踏上了這間位於台中北屯區,在做種牙手術方面擁有不錯口碑跟服務的新華牙醫診所,也因此認識了專業具有種牙權威又仔細的林義城醫師。

許多朋友問我,為什麼不乾脆在香港做治療就好?!
在香港治療一顆蛀牙醫師跟您收費NTD1500,在臺灣牙科治療蛀牙沒健保的情況下掛號費也只收NTD500,更別說種牙價格費用了,香港的種牙價格又怎麼能跟臺灣種牙價格相比呢!

走入診所大門後,柔和燈光與簡潔明亮的環境讓一直處於忙碌步調及上牙醫診所的緊張心情稍稍緩減,笑容可愛的護士小姐也幫我換上拖鞋,讓自己好像在家一樣自在。
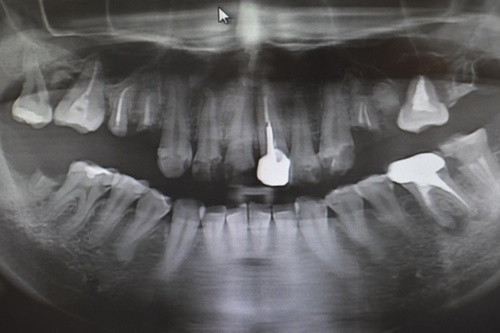
簡單先跟林醫師描述自己口腔缺牙的忐忑史跟狀況後,林醫師便是替我進行了洗牙跟牙齒現況的檢查,果不其然這段期間的過往蛀牙有部分再度復發,林醫師也仔細跟我講解即使治療好蛀牙,缺牙也屬口腔不健康的一種現象,有人會因為缺牙位置不明顯,而將其忽略增加蛀牙發生率。

缺牙除了不美觀,還會影響牙齒的咬合、發音和咀嚼功能,鄰近牙齒也會鬆動甚至傾斜往缺牙處傾倒。
缺牙部位對應咬下的牙齒會增長,而容易蛀蝕產生牙周病,最可怕還可能會產生連鎖反應,最後導致周圍牙齒也變得不健全,慢慢產生缺牙的可能性!

我承認在聽完當下真的是背脊發涼,但也慶倖自己的憂慮跟今天找上林醫師做牙齒治療的選擇是正確決定,在知道補上缺牙正是我走入診所的主要目的之後,林醫師聽完後用微笑鼓舞我的勇氣跟決心,接著很有耐心又溫和跟我說明人工植牙需歷經的手術過程、價格費用還有術後保健等相關細部注意事項,最後還請諮詢護士帶我走上二樓觀看並講解那台讓我感覺科技感十足,用來說明做人工種牙患者術後傷口復原的高壓氧艙。

而這座高壓氧艙則是在人工種牙手術後隔天護士會安排時間讓患者來乘坐,在此之前需要飲用維生素C氣泡飲來增加體內血液迴圈進而提高新陳代謝能力,促使傷口能更快癒合,如此作法與這座高科技壓艙互相配合,著實是讓我感到新奇又專業。

接下來諮詢師帶我繼續瞭解人工植牙時院內診間設備,還有各種不同類型的種牙治療。
詢師提到雖然人工種牙患者不少都是年紀稍大的長者,但無論是什麼年齡層的患者,診所都需要盡到最大的責任跟義務治療且照顧,所以于植牙時,會幫患者先測血壓、血糖,另外還須用心電儀做監控,如果有任何超出正常值現象或是有風險存在的可能,醫師就會暫停人工植牙的療程,另外也會瞭解患者自己身上是否有其他疾病,如:高血壓、糖尿病...等慢性疾病,這樣才能保障患者安全。

無論是聽到這段話還是看到診間有這麼多精密儀器,頓時真的覺得自己可以完全交付給林醫師,對於人工種牙手術潛在的不安,也會被如此縝密的設備跟細心的照料一掃而空。

檢查過後,由於牙周病的關係牙槽骨質密度較低,所以須採用人工種牙來做治療,透過補骨粉之後這樣種植體才會更加穩固,而非近年來相當盛行的傷口較小、復原速度也較快的微創種牙,當然,如果是真的可以做到改變自己的口腔狀況且減少後顧之憂,基本上已經下了要進行口腔狀況調整的決心,自然就不會輕易退卻,再說,有如此專業、仔細林義城醫師,跟制度完全的醫療團隊,加上新穎且俱全的診間設備,到底還有什麼好讓人擔憂的呢?

也因為本次做牙齒檢查治療所感受到台中牙科診所權威性設施與專業,心裡已默默決定在母親節之前一定要帶跟我一樣有缺牙問題的媽媽來做種牙治療,讓她老人家可以更願意面對飲食問題,不為缺牙而苦惱。
想了解更多有關 人工植牙/費用/對比案例等可以到新華FB了解諮詢