
牙齒對於每個人來說就是微笑的第一印象
如果大笑卻看到黃黃的牙齒色,實在是尷尬!
當越來越愛漂亮之後,就曉得牙齒更是重要
臉部要做好美白 牙齒也一樣需要美美白白的微笑才好看
牙齒的整齊度、牙齒的顏色,漸漸是現代人所追求的第一目標耶!!
☎️|04 2208 5801
⌚️|09:00-21:00 
🏠|台中市北區進化北路416號

粉專| 超植牙醫
推薦一家在台中服務以及態度都相當不錯的牙科診所
畢竟許多人還是很害怕看牙醫
所以我覺得專業度、以及溫不溫柔好重要呀 ~~~ 
這家的醫師都挺溫柔的,而且當天也跟我解說的很詳細!
在地人也相當推推的一家  


位於在進化北路上,車潮人潮都相當多的地方
附近也有許多小吃美食,大賣場可以逛 😂
陪同的人如果等太久也可以逛逛,不怕無聊~(大笑)
因為自己還滿常北上的,經常需要拍照(幾乎是每天了!)
微微笑就發現自己的牙齒似乎黃黃的
雖然瑞瑞沒有抽菸沒有喝酒的習慣,但也礙於愛喝茶與咖啡
導致牙齒黃的很快!
不知不覺就來到這兒做了舒眠牙齒亮白
近期主打的一項讓牙齒美美的項目   還是超植牙醫獨創的項目喔!

一進到診所就受到尊榮般的對待😳
牙醫護理師面帶笑容迎接(這點超重要的啊!第一次去就減少許多看牙的緊張)
先給上健保卡後在休息室等待,還有專屬的咖啡休息室>>
咖啡,零食、雜誌都可自行取用唷 ~ 


等待叫名後就會帶上樓,看看環境實在是很乾淨!
舒適潔淨的環境也讓人更加的舒壓與放鬆看牙 ❤️
基本上會建議預約(因為這家我發現生意很好耶)
(電話在第一段幫大家找好了😂)

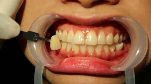
做這項目也會照原先的牙齒顏色
讓你在兩週後回來看原本齒色(因為每天看自己看不出來😂)

會使用專業儀器幫牙齒照整個X光
也是檢查有無蛀牙以及長智齒的部分,了解你更整體牙齒狀況  

不會有不舒服的情況唷~(很溫柔滴)

超植牙科的醫師們也取得許多專業執照
讓大家安心看診以及放心諮詢喔!

我覺得很細心的地方是:會主動告知該如何幫牙齒整潔
以及平常你沒有注意到的地方 瞬間點醒你的感覺!
而且當天去照完X光才發現我又長了兩顆智齒啊~~~

舒眠牙齒亮白項目前會先幫你製作好齒模 
這可是我人生初體驗呢  而且過程中也不會不舒服唷 ❤️


當製作完齒模後,可愛的牙醫護理師教我如何使用
以及幫牙齒做平常的清潔
牙線可是無時無刻必備的啊!!(千萬不要再懶惰了我XD)
而且回家的保養相當簡單,完全不會影響自己的作息喔!
就是在睡前的時候,將針筒中的保養成份擠一滴到牙套上
很細心的是診所已經幫忙將牙套上鑽個小洞洞
方便我們回家後置入保養成份喔! ❤️❤️
之後戴著睡覺起床後拿下既可   (最少要攜戴6小時比較好喔)
大家可看看我兩週的成果 >>>
而且我也沒特別改變飲食習慣,但是如果喝茶類就是使用吸管就好了唷!

過了兩週再回到診所,看到原先的牙齒顏色
我實在是有驚訝到!!  
難怪大家現在都會追求要讓牙齒美白透亮才好看
之前都是使用一般的齒色保養,發現維持度都不夠~~(哭)
這次來做了舒眠牙齒亮白,維持度相對的也較高些~
還我更燦爛可以大笑的牙齒啦 ❤️
剛好現在也正在優惠中大家可以參考喔!!!  
目前點連結進入諮詢就可以優惠價保養(飛奔去舒眠美白😂)
➡️➡️➡️ https://reurl.cc/d3kaD
