大家知道嗎?大家口中說的人工植牙

就是圖中的這個
在我還沒接觸人工植牙時,我還真以為
植牙是一項非常血淋淋而且進入手術室後2~3小時就能完成的事情
事實上完全不是這麼一回事
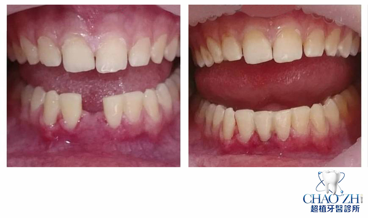
我因為發生了意外造成了缺牙
經過網路不斷比較,終於找到了這家診所
超植診所的諮詢師非常專業告訴我們
植牙整個療程大致分成六個重要的步驟:
1.首先需要印製研究牙齒模型:
需做牙齦組織及牙齒咬合評估。
2.利用3D顎骨電腦斷層掃描檢查:
透過水平與垂直的骨量評估、解剖構造定位、植體尺寸決定、植牙手術模板預製。
3.評估後的牙根植入手術:
在牙骨上人工牙根植入,
通常會在獨立的手術室內進行局部麻醉後施行

4.術後牙根癒合期:
約等3-6個月才能做假牙。
5.正式補綴物完成:
視每個人情況評估是否需做植體二階段手術
將先前齒槽骨內植入之植體鎖上支台接出、牙齦移植手術
接下來是工作模型印製、支台齒選擇,最後補綴物(假牙牙冠)完成。
6.維護期:
每3-6個月定期檢查。
包括檢查植體週圍組織穩定性、補綴物穩定性、
植體周圍組織是否有發炎等情況
醫生會隨時協助咬合調整。

經過了以上6種步驟,我終於完成了我的人工植牙
酷吧~跟沒缺過牙一樣
如果大家想了解植牙或假牙的更多資訊可以直接私訊他們喲
附他們的聯絡資料讓你們參考
預約電話: 04-22085801
地址: 台中市北區進化北路416號
官網 : https://lihi1.com/GypDv