自己牙齒不漂亮線上直播跟粉絲互動總是會抿著嘴說話
接外拍活動當然也就不敢開口微笑~為此曾買許多美妝牙齒美白套組回家使用
花了錢效果上卻似乎非常慘淡  
經朋友介紹有機會可到台中北區牙科體驗獨家舒眠牙齒美白新技術
     
這次體驗後真心心得就是~『別再說在牙科做牙齒美白很貴了!!』
以下是真實體驗牙齒美白業配文
既然敢說明是體驗心得業配文就一定是感覺大很大差異化才會寫出來
    
>>>>>>>>>O<<<<<<<<<
這款舒眠牙齒美白套組合外面美妝店或網路上販售的居家美白商品很類似
最大的差異性在於美白藥劑濃度和客製化美白牙托以及配戴時間
>>>>>>>>>O<<<<<<<<<
    
先為大家做點分析
>>>超植牙科-舒眠美白<<<
  *美白藥劑濃度15%
  *舒眠美白牙托是透過印模而成的客製化牙托,包覆性佳,方便攜帶,
外型像隱形牙套在每一個牙齒上皆有設計凸點,
將藥劑擠在凸點上有助藥劑可均勻鋪散在牙齒表面
  *配戴時間可在晚上睡覺前配戴
(睡眠時間4-6小時左右)起床時再取下
  *大約使用兩週牙齒就很有感
     
>>>XX品牌-居家美白<<<
  *美白藥劑濃度5-10%
(會依美白藥劑濃度5%-10%而有價格上幾千元落差)
  *居家美白牙托無設計美白藥劑置放凸點較容易造成美白藥劑分散不均,
且藥妝店美白牙托密合度沒有牙科製作的好、配戴不方便
  *配戴時間任何時間皆可配戴
(通常是建議每日配戴時間15分鐘到6小時的都有)
  *要使用一個月以上牙齒才會有些微差異
     
想要長效維持就要一直不停購買藥劑回來用
換算下來其實跟牙科這次推出的睡眠美白套組價格差不多
>>>>>>>>>O<<<<<<<<<
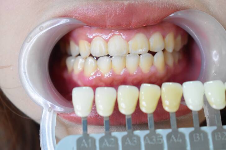
  在牙科做美白還有醫師先做好牙齒檢查
才不會有牙色淡化不均的問題
>>>>>>>>>O<<<<<<<<<
     
超植牙科他們家一組舒眠美白套組約略價格是幾千多
精緻美白套組盒裝裡面有四隻牙齒美白藥劑
(一隻藥劑大約可使用4-5天左右)
一隻美白後所使用的氟劑
(醫師有交代美白牙套拿下後用棉花棒在牙齒上塗上一層薄薄氟劑來鎮定牙齒表層琺瑯質,一部分是可以降低色污沾附在牙齒上)
一個橘色小盒子可以擺放美白牙套盒以及客製化的美白牙托
     
超植牙科很貼心地在盒內還擺上一張牙齒美白使用後注意事項
盡量減少咖啡、茶的飲用才能維持好美白效果
比較特別是小護士還交代  美白藥劑要做冷藏保存  
     
上網查一下才知道原來這款美白藥劑具有活性美白因子
具有活性的美白藥劑  才能有效打斷沈積在琺瑯質上色素鏈結鍊
若保存溫度超過40度以上高溫,
就容易讓美白因子的活潑度降低這樣就會達不到原本期望的美白功效
     
取回美白套組當天醫師還特別叮嚀早上起床拿下牙套刷牙時要連美白牙套一併清潔
不然很容易有牙菌斑附著
這次牙齒美白體驗睡眠美白的確有值得
不僅牙科在美白前詳細替林奈做牙齒檢查  
     
還針對各種不同牙齒美白方式在獨立諮詢室內做解說
像是噴砂美白適合牙結石附著嚴重和吃檳榔會有色斑的人
若怕麻煩又想快速就可以選擇冷光美白
夠勤勞又怕牙齒做美白會痠軟的我就適合做睡眠美白啦  
     
最近開始搞線上直播才知道牙齒潔白透亮真得很加分
眼尖的網友居然一眼就看穿林奈Lingna偷偷做了牙齒美白
過去接攝影外拍怕被發現牙色黃盡量都抿嘴微笑
這次朋友推薦我去台中北區超植做他們獨家牙齒美白技術
只能說!!這舒眠美白實在太厲害了!!
歡迎大家來追蹤林奈>>https://www.facebook.com/lingna911/
超植牙醫診所
諮詢電話 : 04-22085801
牙科院址 : 台中市北區進化北路416號
LINE@預約 : https://line.me/R/ti/p/%40kfx5316r
官方臉書 : https://lihi1.com/EkxIg
文章來源>>https://goo.gl/Cv3tcS