
又到了愉快周五時刻,
每個禮拜五最期待的就是上到健身房好好運動舒壓,
正在暖身吐納之間被旁邊同行女性朋友發現
說:「ㄟㄟ曉鈴,你有小暴牙ㄟ!有沒有要考慮要矯正啊!」
我說:「有嗎?」心裡一直非常在意的齒列不整問題還是又被問了,
抬頭照了下健身房的鏡子!
自從出社會後媽媽不斷的詢問我有沒有想做牙齒矯正?!
再次又被關注那顆突起的虎牙跟臼齒,
終於還是決定痛下決心要尋找牙科做牙齒矯正
對於牙齒矯正一知半解只好上網搜尋希望能得到好推薦
果然google是大家好朋友
一搜尋牙齒矯正推薦就看到許多家評價頗高的台中牙科診所
有一家-新華牙醫診所特別吸引我目光

臉書裡面寫了很多牙齒相關常識頗令人心動
頓時相信新華牙科醫生技術一定能解救需要矯正的小暴牙~
矯正專科-新華牙醫診所
牙齒矯正專任醫師-陳文杰醫師

電話:04-22473558
臉書預約服務: https://lihi1.com/PCwUc
line@線上諮詢:https://goo.gl/qrWgSQ
牙科地址:台中市北屯區梅川東路五段296號
官網: https://reurl.cc/6gk5Ek
臉書粉絲團: https://www.facebook.com/HsingHua.22473558/

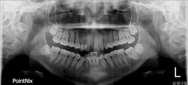
第一次初診文杰醫師先透過X片跟口內檢查約略幫我看了一下
眼前X光片裡可以看到左右兩顆強而有力的智齒正推擠前方臼齒,
在醫生詳細的介紹後才知道會有小暴牙是因為水平智齒推擠造成,
倘若不想拔牙也能做牙齒矯正

只是最後牙齒排列整齊上顎唇形會因為空間問題往前凸
將智齒拔掉後面有多餘空間就能將上顎往後拉
但牙齒矯正療程時間就會稍微長一些
矯正專科醫師針對矯正稍作簡單介紹

(一) 傳統金屬矯正器
傳統矯正器為固定式矯正器,
分為金屬及透明兩種,
每顆牙齒上都附有不銹鋼矯正器,
利用橡皮圈或金屬鐵絲固定每顆矯正鐵線,
達到牙齒排列整齊的效果!
剛綁上金屬矯正器時還沒習慣前多少都會有點…大~舌頭~
聽到這裡以覺得不合我的需求與現在的審美觀。
至於金屬牙套費用上如何計算
約略是落在七、八萬至十來萬之間
((一般會依挑選材質而定))
(二) 3d數位隱形矯正器
何謂數位隱形矯正器啊?
聽起來好新鮮ㄟ!
文杰醫師拿著石膏樣品簡單解釋,

這種屬於活動式矯正器,
需要透過3d模擬客製化牙套的透明矯正器,
必須每2星期左右更換下一階段的新牙套,
然後每6星期回診追蹤再取回下階段隱形牙套即可,
數位隱形矯正器為塑膠材質,
不容易造成刮傷口腔黏膜及舌頭的問題,
且具有配戴方便、舒適、容易清潔等優點喔!
既然3d數位隱形牙套那麼方便相對性價格上也不低,
目前新華牙科有台系跟美系兩個隱形牙套品牌,
矯正費用從十幾萬到二十幾萬區間,
((費用依矯正情況而有價格差異))

像我則需要拔兩顆智齒跟打骨釘,
因為害怕在牙齒矯正期間自己不夠認真清潔牙齒會有蛀牙,
最後我選擇了自然與美觀、實用兼具的3d數位隱形矯正器囉!
矯正費用雖然不斐不過還好新華牙顆能夠做療程分期,
捧著我東賺西捻存下來的錢錢付了頭期款,
之後每個月固定支付矯正分期費用七千元,
預計不到兩年左右就能完成牙齒矯正療程。
付完頭款後已等不及想快點拿到隱形牙套,
護士先跟我約了時間拍攝全口斷層掃瞄取資料以及咬模
接著隔週則是拔智齒行程
再牙齒矯正期間裡面最痛苦的就是拔智齒
醫生說如果智齒長得正沒有傾倒都很好拔
偏偏我的是水平智齒給老娘橫著長

拔智齒當天護士先是拿術前止痛消炎藥給我服用
然後醫師拿著棉花先在牙齦上塗上一層薄薄麻藥
再用一管又一管的麻醉藥針往牙齦上注射
雖然牙齦已有上過麻藥但那一針扎下去還是痛到眼角泛淚…好想媽媽啊!!!

拜拔智齒醫師神手那兩顆水平智齒十五分鐘後就已經分解躺在診療台上,
返家前護士不停交代務必到家後前兩天要冰敷,
第三天後才能熱敷且刷牙要避開傷口,
不能用吸管及喝熱湯、熱茶,
拔智齒後遺症果然讓我的雙頰黑青發腫好幾天,
天天只想吃冰塊喝飲料,
一個月後終於可以取回朝思暮想的隱形牙套開始矯正,
當天牙套戴上後護士小姐會細心地進行衛教,
教導正確使用隱形牙套穿戴方式以及潔牙方法。

而數位牙套戴起來真得跟我預期一樣,
效果自然美觀又實用,
穿脫方便雖然有點需要適應但開口就像沒有戴牙套一樣,
不會有吃東西的困擾!
戴3d數位隱形牙套一年後,
周圍朋友都說:『曉鈴,你變美囉!』

所以隱形牙套還是選矯正專科新華啦!超專業的~~~
新華牙醫地址:台中市北屯區梅川東路五段296號
新華牙醫電話:04 2247 3558
官網: https://reurl.cc/6gk5Ek
臉書粉絲團: https://www.facebook.com/HsingHua.22473558/