
【眼袋手術後—眼袋能撐幾年啊?】

這幾天有一個眼袋開完沒三年就復發的患者,仔細檢視她的眼袋問題,突出的眼袋當然是難辭其咎,不過我們仔細再檢視一下會發現,淚溝是一個很難迴避的問題。我發現,重視淚溝的處理是眼袋手術成功的一大要素,因為當淚溝太深時,眼袋手術再怎麼開,都會達不到眼袋消除理想效果。當眼袋手術後眼袋復發,脂肪再次突出時,如果淚溝深的人,就很容易看到突出的眼袋。

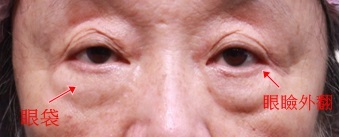
*由上圖是眼袋開完又再度復發的個案,有明顯的眼袋及眼瞼外翻的問題
有任何『眼袋』、『淚溝』、『臥蠶』治療上問題,歡迎您洽詢-

台北明錦整形外科診所 林仲樞醫師
*院址:台北市大安區忠孝東路四段128號 *諮詢專線:02-27727128
*臉書粉絲團:https://www.facebook.com/mingchingplastyjones/
*臉書預約:https://reurl.cc/W4N1YO
*LINE ID專人諮詢 @mingching
*LINE加入網址: https://nav.cx/lnLwjhP
【淚溝是什麼?我們來認識一下淚溝】

淚溝是指由內眼角開始出現在下眼瞼靠鼻側的一條凹溝,是由於眼眶隔膜下緣的軟組織萎縮、下垂而生成的,有的人甚至可延伸到臉頰。
『眼袋可以透過眼袋手術獲得改善』
所以成功的眼袋手術,最好重視兩個部分,一、脂肪不要輕易再擠壓出來。二、讓淚溝更不明顯。關於第一部份,傳統講脂肪大量移除的方法已不多見,因為創造的凹陷感反而更沒精神。所以手術移除適當脂肪後,有些人會再用一些方法來強化筋膜,擋住剩餘脂肪外推的壓力,但這些消除眼袋方法效果不一,眼袋形成原因也可能是壓力的關係,我們會在其他文章與您分享形成眼袋原因。

再來就是要同時處理淚溝:有些人會做外部脂肪移植,盡量將凹陷處填平,但我認為,除了眼袋脂肪太少的人,最好的方法還是要將眼眶下緣韌帶放鬆,用轉位的脂肪,讓眼瞼和臉頰交界撫平,這樣也能同時處理眼袋。
上述這種脂肪轉位的概念可以用在經皮膚的外開或是經結膜的內開手術法,只是外開時,應該要更加強眼瞼固定,才不會導致可怕的眼瞼外翻。而內開法則鮮少有眼瞼的問題,這也是林仲樞醫師最推薦的眼袋消除方法。
若各位有『眼袋』、『淚溝』、『臥蠶』相關問題想多了解手術治療過程,歡迎隨時發問*LINE加入網址 https://nav.cx/lnLwjhP或是來店預約諮詢喔!林仲樞醫師會替各位做個別諮詢及評估自己最適合的眼袋治療方式。
眼袋手術復發案例一

眼袋手術復發案例二

有任何『眼袋』、『淚溝』、『臥蠶』治療上問題,歡迎您洽詢-
台北明錦整形外科診所 林仲樞醫師
*院址:台北市大安區忠孝東路四段128號 *諮詢專線:02-27727128
*臉書粉絲團:https://www.facebook.com/mingchingplastyjones/
*臉書預約:https://reurl.cc/W4N1YO
*LINE ID專人諮詢 @mingching
*LINE加入網址: https://nav.cx/lnLwjhP

