
【眼袋手術案例分享】
有個客人跟林仲樞醫師說,她之前在別家醫美做的眼袋手術從開完就不滿意,林院長問她哪裡不喜歡,她左思右想,像眼袋也不見了,可是就是哪裡不對,如圖:

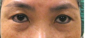
再看一位,十多年前開過的眼袋手術,下眼瞼的皮膚其實也不多了…

有任何『眼袋』、『淚溝』治療上問題,歡迎您洽詢-
台北明錦整形外科診所 林仲樞醫師
*院址:台北市大安區忠孝東路四段128號
*諮詢專線:02-27727128
*臉書粉絲團:https://www.facebook.com/mingchingplastyjones/
*臉書預約https://reurl.cc/W4N1YO
*LINE ID專人諮詢 @mingching

如果照一般的標準,這些眼袋手術開的沒什麼問題,脂肪也都拿掉,皮也剩下不多,只是如果對照我們想要的眼袋外型(下圖),一樣開過眼袋的女性,就會注意到一些差異…不會呈現永遠睡不飽的黑眼圈

【淚溝改善的重要性】
這些差別在哪裡呢?首先就是淚溝,傳統眼袋手術常忽略淚溝的處理,只是很努力的將脂肪移除,結果是凸顯了一些患者臉部略顯凹陷的結構,就是所謂的淚溝。約十多年前開始有人用脂肪移植或下移的方法,只是並不盛行。直到近年來重新檢視許多早期眼袋手術的結果,了解到淚溝處理應是眼袋手術的重要部分,本文也比較了一些淚溝的處理方法!

【消除眼袋和黑眼圈方法】
其次是黑眼圈及色素沉著,黑眼圈要了解是內因型或外在型,內因型是由突出的眼袋或連同下方的淚溝所造成的陰影,處理方法就需要將眼袋移除或填平淚溝。有時在開眼袋手術時,可以用脂肪轉位的方法,將眼袋的脂肪向下移,就可以同時將兩個問題同時解決。這種方法可以於內開或外開下進行,只是內開的自然度遠勝外開,而且併發症少很多。我們建議除非皮膚多很多的患者,否則內開的滿意度和恢復其都勝過外開法!對於皮膚只略多且選擇內開的患者,明錦林仲樞醫師會配合一些磨皮或二氧化碳雷射,同時刺激皮膚收縮與代謝,對外因型的黑眼圈也會改善。

【淚溝改善方法】
明錦林仲樞醫師解釋說外因型的黑眼圈是由於長期皮膚下的血流鬱積,造成血管叢增生,或甚至色素的沈積,也有部分是皮膚鬆弛的皺褶感,以致看起來暗沈老化。已然形成的色素沉著可能只能靠雷射,底下增生的血管,連同多餘的皮膚建議由外開型的眼袋手術來解決。當然如果皮膚不是多很多的,連同眼袋及淚溝的處理,一樣是建議用內開脂肪轉位,合併雷射及磨皮的方式,這樣可以保留眼瞼自然的層次型構造。
【眼袋消除後效果很好!】

不過,上述第二位的黑眼圈和淚溝,其實林仲樞醫師只用內開並脂肪轉位,她就得到不錯的改善。

明錦林仲樞醫師綜合淚溝處理方法的比較:

以上的眼袋消除方法當然要配合患者的需求、身體結構來做分析,明錦林仲樞醫師才能找到適用的方法,還是老句話,記得和手術前和醫師做好溝通,這樣做起來才容易皆大歡喜喔!

有任何『眼袋』、『淚溝』治療上問題,歡迎您洽詢-
台北明錦整形外科診所 林仲樞醫師
*院址:台北市大安區忠孝東路四段128號
*諮詢專線:02-27727128
*臉書粉絲團:https://www.facebook.com/mingchingplastyjones/
*臉書預約https://reurl.cc/W4N1YO
*LINE ID專人諮詢 @mingching