
牙齒矯正推薦台中南屯雲康牙醫診所羅士凱醫師!牙齒矯正費用可分期!牙齒矯正選擇雲康牙醫羅士凱醫師隱適美牙齒矯正經驗豐富!
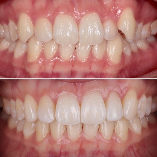
牙齒矯正儼然成為全民運動,不管大人小孩都會經歷一段矯正黑暗期,但隨著科技進步下,隱適美隱形矯正讓牙齒矯正不在需要經歷痛苦不堪的歷程,除此之外,隱適美隱形矯正在外觀上,幾乎看不出來,且採用 smarttrack 彈性材料製成可輕鬆拔除或配戴,回診時間與傳統矯正三至四周回診一次相較之下,隱適美隱形矯正的六至八周回診可以讓患者有更多自由利用安排的時間。
【雲康牙醫診所】
■ 電話 : 04 2258 1238
■ 地址 : 台中市南屯區黎明路2段319號
■ 臉書: https://www.facebook.com/yunkangdentistry/
■ line@網址 : https://lin.ee/lhWATuQ

雲康牙醫診所診所羅士凱醫師表示,近年來隱適美隱形矯正的接受度和知名度逐漸打開,但還是有不少患者對於隱適美隱形矯正有著許多迷思,其中,矯正時間及矯正拉力是最多人提出質疑和討論的部分。
隱適美隱形矯正建立超過600萬微笑大數據,搭配羅士凱醫師豐富的臨床經驗為患者進行調整與客製化設計下,矯正時間與拉力不再是隱適美隱形矯正的缺點,凡是深咬、暴牙、戽斗(反咬)、錯咬、齒縫過大等等問題,均能夠解決。
除此之外,提升與患者之間的共識及確定彼此對於矯正過程的認知,羅士凱醫師在執行牙齒矯正以前,會為患者製作一份專屬的矯正計畫書,使患者明確清楚未來矯正的過程與牙齒的變化,同時,再次確認患者的需求,降低溝通不良造成的糾紛問題。
牙套矯正療程近年已經成為很普遍的療程,透過牙套矯正,可以有效改善暴牙、虎牙等常見的牙齒排列問題,也能改善咬合問題。不過,有些民眾在牙套療程結束後會發現,雖然牙齒排列整齊,但臉形上的改善卻不如預期;其實這並非牙齒矯正效果不好,民眾務必先理解,牙齒矯正的目的是改善齒列,臉形的問題仍需評估是否和骨架有關。
不過,若暴牙患者在牙套矯正後有上排牙齒露不出來的狀況,很有可能是拔牙後過度矯正,而造成上排牙齒無法露出。羅士凱醫師表示,如果擔心牙齒矯正後出現過度矯正的狀況,可以在矯正前先與牙醫師溝通,就能夠避免中臉會變得太平、看起來顯老的狀況。

在做牙齒矯正前有一點很重要!羅士凱醫師提醒民眾,務必要先與專業醫師親自諮詢,針對個人條件及狀況選擇適當的矯正療程,除了能更達到診療者所想的效果外,也能有效免去後遺症的風險。
【雲康牙醫診所】
■ 電話 : 04 2258 1238
■ 地址 : 台中市南屯區黎明路2段319號
■ 臉書: https://www.facebook.com/yunkangdentistry/
■ line@網址 : https://lin.ee/lhWATuQ

