
第一次到牙醫洗牙好緊張…我的台中牙醫洗牙初體驗get~
還記得第一次去牙醫是小時候大概國小2年級去補蛀牙,我印象中牙醫是充滿著消毒水刺鼻味道的可怕地方,鑽牙聲音充斥,那種痠麻感至今仍記憶猶新…所以我很保護我的牙齒,每天都要仔細刷完牙齒再配漱口水才安心睡覺,幸好這些年的努力都沒有白費,牙痛也不再找上我。

為甚麼我今天會心血來潮去洗牙呢?原因是最近哥哥要娶老婆了身為伴娘的我可不能漏氣啊!便預約台中南屯新銳牙醫,剛好在我家附近,而且網路評價還不錯,聽說台中南屯新銳牙醫的劉院長植牙技術很厲害!但我的牙齒還沒對郎造,所以就先列入觀察名單囉~希望台中南屯新銳牙醫不要給我漏氣吶!
【新銳牙醫與您共同迎向健康美齒】
▋line@搜尋id: @513mtlan
▋line@加入網址:https://lin.ee/sWMGtrh
▋電話:04-23192009
▋地址:台中市南屯區大墩路590號

一到新銳牙醫門口就給我一種很典雅溫馨的感覺,完全就不像一間牙醫診所,比較像是…高檔餐館…?大廳環境也給我一種很舒適的感覺,沒有印象中消毒水刺鼻味道,也沒有擾人安寧的鑽牙聲音,頓時感到放心許多。

我依照護士小姐親切指示,填寫病例資料內容不外乎是調查我有沒有對藥物過敏?或是其他家族遺傳疾病?以便醫生治療時可以多留心注意,填寫完基本資料後護士小姐告訴我要在大廳稍等一下,因為上個患者的位置需要確實的清潔消毒,我心想:小小診所竟然可以面面俱到!服務比大醫院還要好!對於待會要進行的洗牙療程也頓時放心了許多。我在大廳找了個舒適位置坐下,這時護士親切遞上一個紙杯並告訴我桌面上的小點心和茶包都是可以自行取用~要我別客氣。我還以為我來到海底撈,這間新銳牙醫的服務有點誇張啊!


終於輪到我了,護士告訴我診間的位置我才發現原來新銳牙醫為了確保每個患者的隱私所以把看診室用隔音玻璃隔了起來,難怪一進門時沒有鑽牙的聲音,不得不說新銳牙醫對患者隱私的保護做得很用心!真的讚!
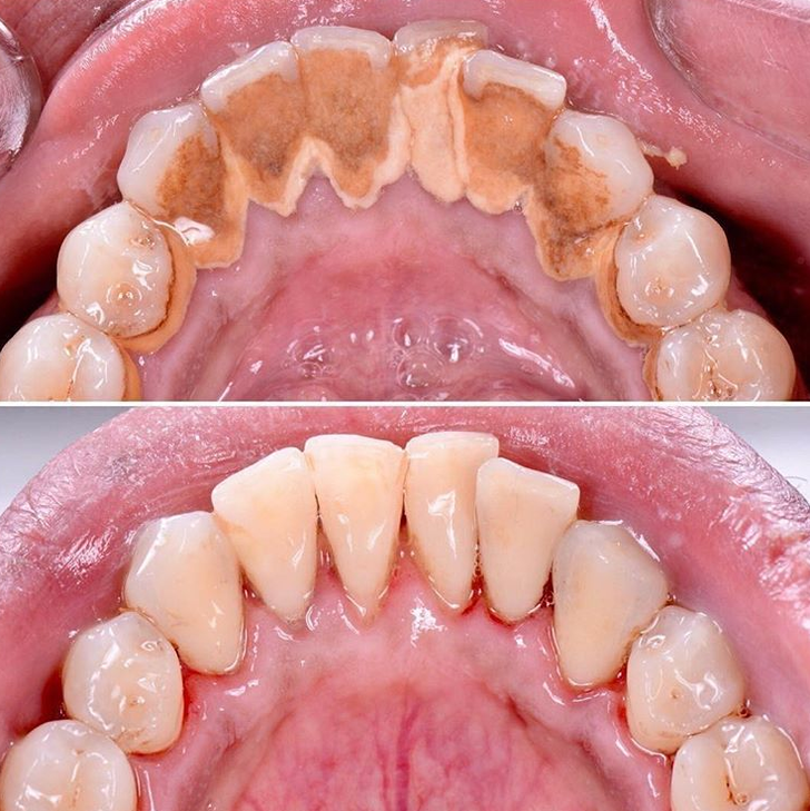
替我洗牙的是我在網路上看到的劉有恆劉院長,感覺比相片中還更有朝氣!話不多說就開始了今天的洗牙囉~因為我很久沒有洗牙關係,所以牙齒有些小小牙結石,這也是為甚麼有時候刷牙明明嘴巴沒有傷口卻會刷出血來的原因,過程中我漱口了好幾次,吐出來全是紅紅的血,整個超療癒!而洗牙過程中也沒有感到不適,劉有恆院長也都會詢問會不會不舒服,並適時給予我喘口氣漱口的機會,總之這次洗牙體驗整個就很爽!

心裡暗自佩服劉有恆院長洗牙技術真滴讚!洗牙結束後劉有恆院長也提醒我大約每半年就要到牙醫診所洗牙,清潔牙結石這樣牙齒也比較不會有毛病。劉有恆院長也表示我的牙齒很健康!平常把牙齒照顧的不錯哦!但有一點要先提醒你,就是洗完牙回去之後牙齒會變得比較敏感,吃熱或冰的東西會覺得有點酸是正常的,過幾天就會恢復了可以不用擔心。

牙齒最後面有兩顆大大的水平智齒,因為生長角度關係會推擠到前面臼齒,每半年來檢查時可以順便檢查一下智齒有沒有蛀牙,假如智齒推擠造成牙齦會發炎疼痛再找時間過來拔智齒。
我心理竊喜著,幸好努力沒有白費,有了這次洗牙體驗,以後我會定時的上牙醫報到!會再來這間新銳牙醫拔智齒嗎?當然!我答案是肯定的!
總結以上新銳牙醫在我心目中的評價
滿分五顆
價格ooo(掛號費150見仁見智,和服務相比我覺得很值得)

交通便利性ooo(小提醒若新銳牙醫門口沒有車位可停對面家樂福停車場)

環境氛圍oooo(裝潢不錯廁所及室內環境也很乾淨還提供貼心的小茶點)

醫生服務技術oooo(劉有恆院長替患者著想很加分,洗牙過程很順利)
【新銳牙醫與您共同迎向健康美齒】
▋line@搜尋id: @513mtlan
▋line@加入網址:https://lin.ee/sWMGtrh
▋電話:04-23192009
▋地址:台中市南屯區大墩路590號
