
第一次來到超植牙醫,植牙前吳立琳醫生相當嚴肅地告訴我:
『你這個牙齦退化非常嚴重骨頭流失很多!需要經過翻瓣補骨療程等牙床穩固後才能進行植牙』
我當下整個大吃了一斤蒜頭,腦中開始閃過人生的跑馬燈...
有這個問題會不會沒救了?會不會因為植牙就離開人世,那我的人生也未免太囧了...我還有很多事沒做、很多動畫沒看、我的夢想、我的目標...

吳立琳醫生先幫我把牙齦翻開補入骨粉,吳立琳醫生表示:『這兩三個月是觀察期,如果兩三個月後再回診若狀況沒有改善,就還要繼續補骨』才可以把植體種進去牙肉!吳立琳醫生這樣告訴我!

為甚麼會去超植牙醫植牙呢?
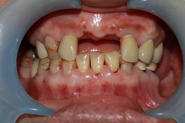
其實我已經缺牙好久了,以前雖然有到其他台中牙醫作過治療,但並不是植牙而是在牙齒間搭起牙橋,把兩邊的牙齒磨小,再套上假牙牙套,外觀看起來像有牙齒一樣,但細看其實顏色和正常牙齒有著非常大的落差,除此之外經過歲月多時之後牙齦畏縮磨小牙根也日漸蛀蝕產生口臭!所以我毅然決然找了這間台中牙醫作植牙治療!
幸好來到超植牙醫後比想像中來得更舒適!不但有獨立候診區獨立看診區的設計,以及診所也明確落實防疫的工作,替每個來看診的朋友量體溫,做手部的酒精消毒實在令我非常放心!
台中植牙超植牙醫
※預約專線(04)22085801
※線上預約網址 https://lin.ee/oAXgdhz
※院所地址 台中市北區進化北路416號1樓 (鄰近中清路)
※官方臉書 https://www.facebook.com/kfx5316r/

第二次來到台中北區超植牙醫,很慶幸這陣子我牙齒的情況沒有惡化,吳立琳醫生這樣告訴我!
吳立琳醫生也有點驚訝,他說通常缺牙這麼久的患者再補骨後,牙肉竟然也可以變得這麼飽滿,吳立琳醫生在驚訝我體質異於常人的同時,我心底暗自竊喜著,可能是我有喝牛奶吃鈣片的習慣吧?又或者我就是那萬中選一的天之驕子?
能這麼快長出來也算滿幸運的XD

今天的目標就是植入牙體!替我植牙的醫生依然是這間超植牙醫吳立琳醫生,按照慣例一樣先用碘酒在我嘴巴周圍消毒,再補一支麻醉!古有關老爺刮骨療傷,但我沒有他那種不麻醉的勇氣XD

只是跟大家分享一下自己在台中植牙心得,也希望各位能好好愛護自己的牙齒~我是因為國小時不懂得刷牙的重要性,上了國中才開始慢慢有刷牙的習慣...不過為時已晚,導致我後來口腔內像經歷過二次世界大戰一樣,滿目瘡痍...
請各位一定要好好愛護牙齒RRRRRRR
台中植牙超植牙醫
※預約專線(04)22085801
※線上預約網址 https://lin.ee/oAXgdhz
※院所地址 台中市北區進化北路416號1樓 (鄰近中清路)
※官方臉書 https://www.facebook.com/kfx5316r/
