
有一口白白淨淨的牙齒,應該是大家都追求的一件事吧~
但有聽說除了做全瓷冠,能讓牙齒維持幾十年甚至永久以外
只要是醫美或是用居家美白產品,其實都只能維持一段時間
因為這段期間還是會接觸到一些可能讓牙齒變黃的食物
像是茶類飲料或是吃麻辣火鍋之類的

所以如果想要一直讓牙齒維持白白的,定期燒錢是一定要的QQ
這是我自己網路上查到的資訊,不曉得這個觀念正不正確
如果有不對的地方~~希望大家能給我一點指教XD
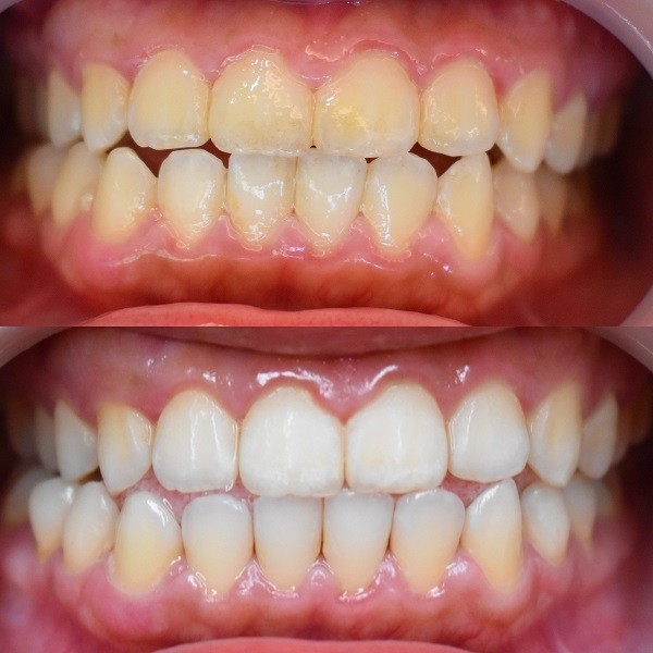
今天想要和大家分享一下,我這幾個月用過的居家牙齒美白產品
會選擇居家美白主要是因為看網路有很多人都在用~
感覺只要有需要,在家裡就可以美白
而且都有說明書使用上其實都很方便!
會比去預約、坐車去醫美診所還要方便很多
而且居家美白和醫美美白,價錢上其實還是有差!
更不要說是全瓷冠了~~負擔不起啊~~
雖然很常有人說居家美白可能會讓牙齒變得很敏感,建議不要太常使用
但我目前使用下來,感覺好像沒有太大的問題
時間上也不太固定,只要覺得牙齒有點黃黃的就會來美白一下~
一、Protis 普羅斯3D牙托式美白組
這是在youtube看到花花推薦的~
會想使用這項產品的原因,是因為他很特別
可以製作屬於自己牙齒形狀的專屬牙托,包覆的很確實
如果剛好有跟我一樣我牙齒不整齊,就可以來用它
但在製作牙托比較麻煩,需要準備熱水
戴上去的時候其實有異物感滿不習慣的
一開始注意到這一個品牌,是在迪卡上看到有人推薦他們家的牙齒美白組
但後來買牙齒美白組是因為,使用上比較有彈性

隨時都能用效果也比較持久
價錢對我來說其實有點偏高,要買的時候其實有點猶豫
後來有自己去爬文章,並不是一次就要把全部用完,
發現它其實是看每次的用量,使用好幾次!
我會推薦超植牙醫牙齒美白組
主要是因為超植牙醫牙齒美白組對於牙齒不整齊的我,可以完整的包覆到!
而超植牙醫牙齒美白組則是使用上真的方便很多!攜帶也很方便!
居家美白對於有時間或行動限制的人來說會是一個比較方便的方法
以上是我自己美白牙齒使用的簡單小分享
第一次寫這樣的分享文,文筆可能不好~請大家不要介意~
每個人能接受的產品不同,如有第一次用就有不適感,可能就不要再用了~

※預約專線(04)22085801
※線上預約網址https://lin.ee/oAXgdhz
※院所地址
台中市北區進化北路416號1樓 (鄰近中清路)
※官方臉書https://www.facebook.com/kfx5316r/

