
在臨床診療全口重建治療上經常遇到使用活動假牙多年患者,換過活動假牙一副又一副,經常面對到使用多年後牙齦及活動假牙密合性衰減,導致咀嚼功能與舒適性方面較差,必須仰賴假牙黏著劑塗抹在活動假牙飲食時才不會鬆脫,甚至在齒槽骨吸收太多(牙齦畏縮嚴重)時,活動假牙根本就會戴不住,想解決活動假牙使用不便的方法便可採用人工植牙手術來解決。



全口植牙重建案例分享:
住在台北的張小姐今年67歲,使用活動假牙已有近十年時間,在日常用餐時常發生活動假牙咬不動喜歡的食物,又或者是活動假牙講話時偶有鬆動問題,尋求台中大雅新全美植牙醫師協助,希望能將活動假牙鬆動問題改善,透過X片及3D斷層掃描評估,張小姐雖已有六十來歲骨質密度尚可,可採用全口植牙加活動假牙療程來改善活動式假牙飲食上使用不便問題,術後一年回診張小姐整個人氣色不旦變得神清氣爽,體態也豐腴起來,利用植牙改善活動假牙問題讓飲食也成為一種樂趣。
全口植牙搭配活動假牙合併好處
一、咬合力較強
二、長期沒有齒槽骨吸收的狀況
三、可解決假牙鬆動問題
有更多「活動假牙」、「全口重建」、「全口植牙」、「植牙」相關性疑問,隨時歡迎各位來跟我們做線上討論
台中植牙診所-新全美牙醫診所
洽詢電話:04-25681669
診所院址:台中市大雅區民生路三段498號
官方粉絲團:https://www.facebook.com/sjl8100o/
網路預約:https://lin.ee/b9vq81T

但有時於植牙門診時也會遇上礙於預算問題,無法負擔全口植牙搭活動假牙費用支付不了的問題,此時仍有較為便宜精簡的療程可協助缺牙患者改善無牙問題:
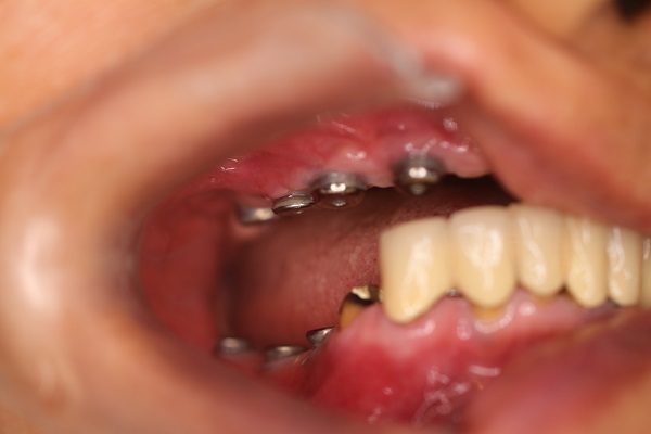
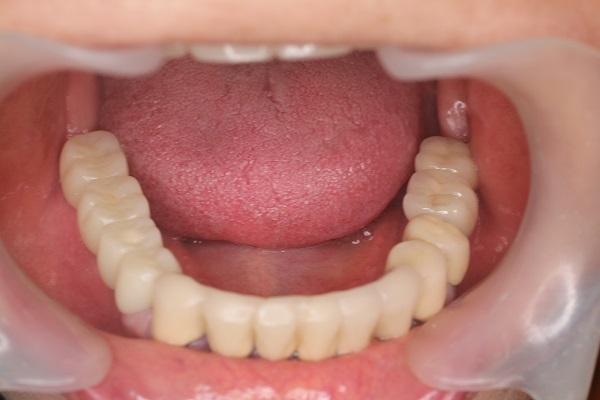
『植體固持覆蓋式活動假牙』則是採用4-6顆植體來固定單顎活動假牙,這樣的用意是來解決全口假牙(活動式-黏膜固持型)到後來容易晃動及脫落的問題。
這種覆蓋式活動全口假牙,穩定度介於「活動式全口假牙」和「固定式全口假牙」之間,但是初始的異物感需要適應,另外,長期齒槽骨吸收的問題還是存在,但至少尚可解決飲食上活動假牙鬆動問題。
此外,植體種植位置的精準度較不要求,故可以避開骨質缺損嚴重的區域,簡化植牙手術的難度。而活動假牙的設計,也可以使老年人或是因病肢體不協調的病人,在口腔清潔維護上較簡單容易。另外,植牙的顆數較全口植牙支撐式的固定假牙少,故整體治療費用也較為低廉些。

上述案例及解決全口無牙情況當中有提到「齒槽骨吸收」,植牙屬於精密牙科手術,成功率與齒槽骨深度寬度和密度息息相關。若骨質不加輕微者可以用手術來改善,若骨質密度較為薄弱嚴重者則需增加軟組織(補皮)與硬組織(補骨粉)透過改善手術來增強骨頭密度之後一段時間才能做植牙,方能長期穩固牙床健康。

順便分享一些改善骨質疏鬆小妙方,培養或保持健康的習慣例如盡量食用含鈣(如:芝麻、無花果、黑豆、海帶、紫菜、黑木耳、芥菜、牛奶)及維他命D (如:鮭魚、蛋黃、沙丁魚、香菇、木耳、優酪乳、穀物…等等)的食品,以及從事增加骨質的負重運動,如跳繩、慢跑、健走或跳舞…等等有氧運動。最好還能搭配增加肌力或平衡感的運動如游泳、太極拳之類較為緩和運動。
當然在日常生活中要盡量避免跌倒而造成骨折,並避開骨質疏鬆的危險因子,如抽煙、喝酒和服用類固醇等藥物,定期做骨質密度的篩檢以期達到早期發現早期治療的目的呦!
有更多「活動假牙」、「全口重建」、「全口植牙」、「植牙」相關性疑問,隨時歡迎各位來跟我們做線上討論
台中植牙診所-新全美牙醫診所
洽詢電話:04-25681669
診所院址:台中市大雅區民生路三段498號
官方粉絲團:https://www.facebook.com/sjl8100o/
網路預約:https://lin.ee/b9vq81T