
一位陳先生帶著爸爸來到雲康做植牙諮詢,向植牙醫師諮詢說「缺牙不補會怎麼樣嗎?」
不得不說這是一個好問題。雲康牙醫時常在fb粉絲專業貼上植牙相關的知識文章
觀看雲康粉絲專頁>>https://www.facebook.com/yunkangdentistry
大家可以在粉絲專頁吸收一些有關牙齒的新知。談到植牙就必須先來瞭解為甚麼要植牙,植牙是指將植體(俗稱:人工牙根)植牙齒槽骨,等待一段時間讓植體與齒槽骨穩固結合後,再將牙冠黏上,為完整的植牙。

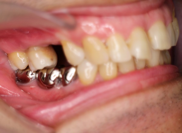
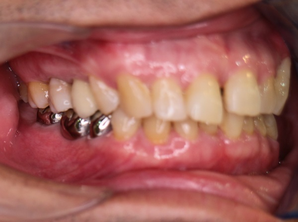
陳爸爸的情況比較單純,像這樣完整缺牙的案例有非常多,大致上這樣子的缺牙,如果沒有其他病因影響,只需要微創植牙就能夠裝上牙根,並且恢復期短暫,可以早日裝上牙冠。

那像是有殘根的情況,植牙醫師就會判斷殘根是否還保有完整穩固,如果還可以使用,便只需要將殘根套上牙冠,便可以使用;相反,殘根若是已經破損至無法當作基底的情況,則需要先將殘根拔除,重新評估適合植體,再重新植牙一次,才能得到穩固且完整,可以良好使用的牙齒。

《人工植牙其實就是重建牙根及牙冠的技術》
人工植牙也時常被稱為人類的「第三套牙齒」,透過骨整合過程,植體跟齒槽骨會相互緊密結合,也因此人工植牙無論在外觀或是功能上,都與真的牙齒有相同功能。陳爸爸的缺牙困擾也就是用此方式完成。
至於植牙過程需要哪些步驟?

在植牙前,會先由植牙醫師判斷,甚麼樣子的植牙方式,與何種材質比較適合患者,並將各種選擇與其完成的樣子,悉數告知患者,達到患者也滿意,植牙醫師也同意的情況下,進行植牙手術。
第一次植牙手術僅會講植體植入齒槽骨,並等待下一次回診觀察,此為第一步驟也是最重要的步驟,植體能不能順利與齒槽骨結合,都會影像日後牙體的使用狀況,因此雲康植牙醫師都是經過優良訓練才會安排植牙手術。
接下來會靜待3至6個月,每個人體質不同,恢復情況也會有所不同,因此緊密的回診觀察,都是保護植牙患者本身,能夠完整觀察至植牙完成,那便是再好不過了。等待恢復期過後,便可以將牙冠裝上啦!

雖然人工植牙對於恢復口腔機能可以達到良好的效果,但很多人口腔發生缺牙情況時,都會覺得「缺一顆牙沒關係啦」之類的想法,若沒有做假牙,長期下來可能導致缺牙區前後的牙齒傾斜、咬合不正、齒間空隙增大,甚至是齒槽骨萎縮等問題。所以,口腔缺牙要配合適當的治療處置才能避免情況惡化哦!
~持續鎖定雲康部落格定期更新新知識~