
台中北區超植牙醫專業植牙醫師陳奕安指出:若口腔在長期缺牙狀態下很有可能因為一、兩顆缺牙甚至是大範圍缺牙進而影響剩下健康牙齒,並衍生更多身體問題!以下帶來陳奕安醫師的實際案例和大家分享。
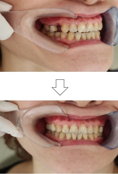
1.相鄰牙齒會開始向缺牙處位移並傾倒,很多人都很納悶為什麼牙齒會向缺牙處位移呢?陳奕安醫師表示:因為正常牙齒排列都是緊密相連,若缺牙狀況不處理則會導致鄰牙空間喪失,也容易產生清潔死角,長期細菌堆積演變成牙周病而導致牙齒脫落。
曾有位張太太因長期缺一顆牙,而在她口腔缺牙處也因長期缺牙而出現平常不易清潔死角,久而久之演變成牙周病而導致牙齒脫落。來到超植牙醫求助陳醫師時也是幫他先治療牙周病,直到牙齒狀況好轉才進行後續植牙療程。

台中植牙專業牙醫推薦-超植牙醫陳奕安
※預約專線(04)22085801
※線上預約網址 https://lin.ee/oAXgdhz
※院所地址 台中市北區進化北路416號1樓 (鄰近中清路)
※官方臉書 https://www.facebook.com/kfx5316r/

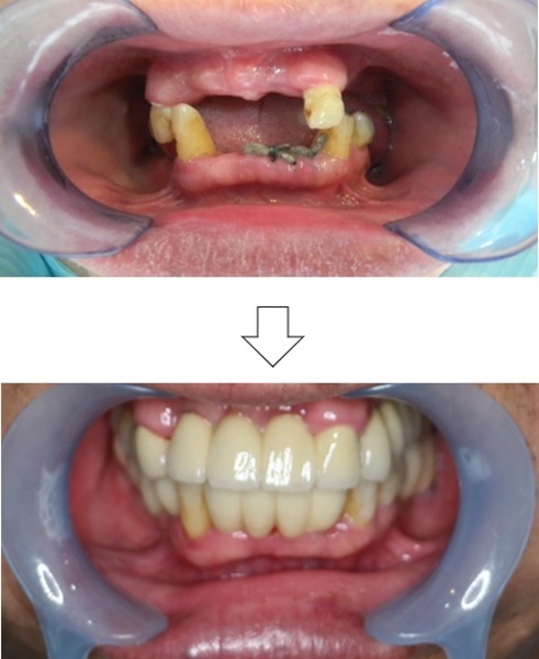
2.而對於缺牙較多患者常有咬合重心偏移狀況發生,陳醫師表示通常缺牙較多患者會利用剩餘牙齒進行咀嚼,長期下來會加重該處牙齒負荷,則容易造成單側肌肉肥大與顳顎關節疼痛,嚴重者可能會影響臉型(扭曲不對稱)等相關症狀。
還記得當初有位林先生專程來到台中北區超植牙科診所,想要透過牙醫來改善臉型對稱問題,因為他不敢上醫美求助於整形削骨方法,便來到超植牙醫求助陳醫師,在院內先進口掃機及口掃x光機的高科技輔助下林先生牙齒狀況被陳醫師一覽無遺。
陳醫師表示林先生口腔狀況存在一個巨大問題,指著x光影像說:左側牙少了幾排牙齒可能是造成你臉型不對稱原因之一,正常人在日常進食中都會依賴牙齒健康處咀嚼,所以林先生右側咀嚼肌相對於左側咀嚼肌要來得健康強壯許多,也因此造成臉型左右不對稱狀況發生。

最後陳醫師透過植牙過程前補骨加強植牙穩固性及多顆植牙來改善林先生臉型對症問題,最後林先生也非常感謝陳醫師治療,但對於缺牙過久的他還需要一段時間來適應新牙齒,陳醫師也非常歡迎林先生有任何狀況都隨時來超植牙醫找他,就再之後幾次回診檢查後林先生才算是真正的成功植牙。

很多人認為牙齒不重要,有問題時不用理會放著就好,上台中牙醫治療可以解決一切嗎?花錢又哀皮痛,但超植牙醫陳奕安醫師卻不這麼認為,他提到任何口腔大小問題都需謹慎面對,尤其缺牙狀況更需小心重視,才不會讓小問題釀成大麻煩。
面對到缺牙問題許多人還是在意植牙費用問題其次才是自身健康,其實能利用各種治療方案舉例:植牙、牙橋、全瓷冠牙套、活動假牙解決缺牙喚回健康才是更加值得重視!
台中植牙專業牙醫推薦-超植牙醫陳奕安
※預約專線(04)22085801
※線上預約網址 https://lin.ee/oAXgdhz
※院所地址 台中市北區進化北路416號1樓 (鄰近中清路)
※官方臉書 https://www.facebook.com/kfx5316r/
