
你也有缺牙的困擾嗎?在台中植牙很難選擇嗎?不知道自己適不適合植牙,那應該先來了解什麼是人工植牙!
※什麼是人工植牙?
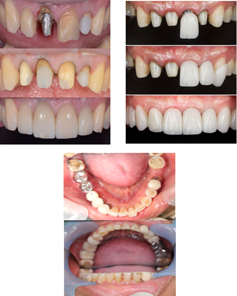
人工植牙在現時代下,是最常見治療缺牙的方式!尤其在台中植牙 – 超植牙醫我們有經驗豐富的院長吳立琳醫師,對於人工植牙對於缺牙處理帶來的穩定度是絕對的!
當然在這之前有些患者是考慮牙橋、以及活動假牙來治療,但人工植牙優點在於,可以避免牙橋帶來的「磨除兩側牙齒」;甚至比活動假牙有更好的咬合力與穩固,以吳立琳醫師在台中植牙的經驗,人工植牙在治療缺牙這方面絕對是推薦的!聯繫超植牙醫,馬上替您預約安排~超植牙醫來電預約: 04-22085801 ~院內地址:台中市北區進化北路416號~官方line聯繫預約 : https://lin.ee/oAXgdhz
※自己適不適合植牙?
讓我們切回主題,怎麼判斷自己適不適合植牙?又或者你正考慮在台中植牙不知道該找哪家台中牙醫?
首先我們了解,人工植牙是已經經過將近半個世紀以來的改善與臨床經驗,才有了現今人工植牙的穩定成功率,是非常成熟的治療技術。那麼問題來了,缺牙或有拔牙需求的人,一定要選擇人工植牙嗎?
當然也有牙橋以及活動假牙可以選擇,但在吳立琳醫師經驗豐富的技術下,我們總是推薦以選擇人工植牙來重建缺失的牙齒,那麼也有人想選擇牙橋及活動假牙,當然成本也較低,但有幾點是無法克服的!
1. 牙橋必須大量修磨兩側健康牙齒,勢必會增加兩側牙齒蛀牙風險。
2. 牙橋會阻礙牙線使用,牙周感染與蛀牙的機率會增加。
3. 齒槽骨與牙齦經過一段時間會開始萎縮,後續植牙的難度會提高。
人工植牙則沒有這些缺點,成功植牙後不僅咬合力量大,兩側牙齒的負擔也不會增加,這才是為什麼現在牙醫師都會推薦把人工植牙列為治療的首選。儘管人工植牙療程等待期相比之下時間較久,也較考驗醫師技術。台中植牙推薦找經驗豐富的吳立琳醫師,相對植牙成功率也較高!
※多顆缺牙與全口缺牙能夠植牙嗎?
人工植牙不是只能在口腔裡植上一根而已!植入足夠數量的人工牙根,實現全口的固定假牙,也不需要再繼續更換活動假牙了!當然如果是經濟上的考量,也可以選擇少量的人工植牙來支撐活動假牙,不但穩固力增強,同時咬合力也提升不少!不過在吳立琳醫師的巧手下,勢必能夠用最少的植體重建固定假牙,是絕對可以實現的。
《不要害怕人工植牙,在台中植牙諮詢就該找吳立琳醫師,幫您重建牙齒,找回健康快樂》
※人工植牙後應該怎麼照顧?
許多人以為,今天植牙後
,明天開始我就要跟牙醫說掰掰了。這肯定是不行的…可能有人會說,這就是你們牙科的陰謀吧!抱歉,我們是想把大家留住沒錯,但我們只會以最健康最有利於患者的方式來看診~
人工植牙後,會有3至6個月的照護期,這段期間有任何狀況,聯繫超植牙醫我們都能盡快替大家預約看診,甚至在人工植牙後,會幫忙預約第一次的回診時間,想要提前也可以,我們與患者都是同一陣線的,能夠把人工植牙照護到最好肯定是大家都樂見的!
那麼希望今天人工植牙的介紹能幫助到在台中植牙的朋友們,不是台中的朋友想來台中植牙也可以!聯繫超植牙醫,馬上替您預約安排~超植牙醫來電預約: 04-22085801 ~院內地址:台中市北區進化北路416號~官方line聯繫預約 : https://lin.ee/oAXgdhz


