正在暖身吐納之間被旁邊同行女性朋友發現
說:「ㄟㄟ品怡,你有小暴牙ㄟ!有沒有要考慮要矯正啊!」
我說:「有嗎?」心裡一直非常在意的齒列不整問題還是又被問了,
自從出社會後媽媽不斷的詢問我有沒有想做牙齒矯正?!
再次又被關注那顆突起的虎牙
終於還是決定痛下決心要尋找牙科做牙齒矯正
對於牙齒矯正一知半解只好上網搜尋希望能得到好推薦
果然google是大家好朋友
一搜尋牙齒矯正推薦就看到許多家評價頗高的台中牙科診所
有一家-新銳牙醫診所特別吸引我目光
臉書裡面寫了很多牙齒相關常識頗令人心動
新銳牙醫
【牙周病 植牙全口植牙 活動假牙牙齒矯正 兒童牙科拔智齒 牙齒美白】
店址:台中市南屯區大墩路590號
電話:04-23192009
營業時間:09:00-21:30
✦fb粉絲專頁: https://www.facebook.com/sunraydental
✦line id線上預約:https://lin.ee/sWMGtrh
✦周末: 固定公休星期日
頓時相信新銳牙科醫生技術一定能解救需要矯正的小暴牙~
矯正專科-新銳牙醫診所
牙齒矯正專任醫師-曾仁芬醫師
因為害怕在牙齒矯正期間自己不夠認真清潔牙齒會有蛀牙,
最後我選擇了自然與美觀、實用兼具的3d數位隱形矯正器囉!
矯正費用雖然不斐不過還好新銳牙顆能夠做療程分期,
捧著我東賺西捻存下來的錢錢付了頭期款,
之後每個月固定支付矯正分期費用七千元,
預計不到兩年左右就能完成牙齒矯正療程。
付完頭款後已等不及想快點拿到隱形牙套,
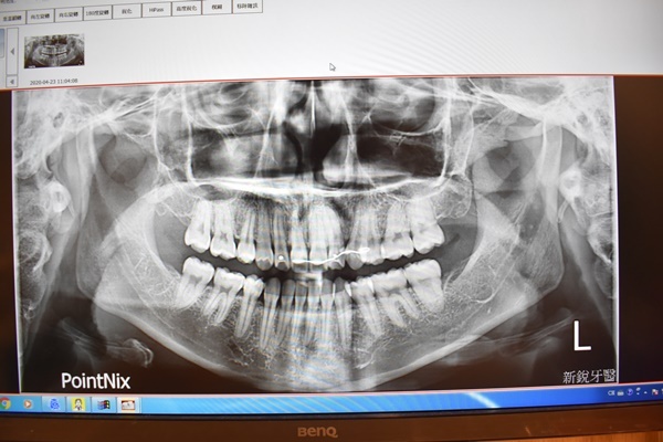
護士先跟我約了時間拍攝全口斷層掃瞄取資料以及咬模
(一) 傳統金屬矯正器
傳統矯正器為固定式矯正器,
分為金屬及透明兩種,
每顆牙齒上都附有不銹鋼矯正器,
利用橡皮圈或金屬鐵絲固定每顆矯正鐵線,
達到牙齒排列整齊的效果!
剛綁上金屬矯正器時還沒習慣前多少都會有點…大~舌頭~
聽到這裡以覺得不合我的需求與現在的審美觀。
至於金屬牙套費用上如何計算
約略是落在七、八萬至十來萬之間
((一般會依挑選材質而定))
(二) 3D數位隱形矯正器
何謂數位隱形矯正器啊?
聽起來好新鮮ㄟ!
仁芬醫師拿著石膏樣品簡單解釋,
這種屬於活動式矯正器,
需要透過3D模擬客製化牙套的透明矯正器,
必須每2星期左右更換下一階段的新牙套,
然後每6星期回診追蹤再取回下階段隱形牙套即可,
數位隱形矯正器為塑膠材質,
不容易造成刮傷口腔黏膜及舌頭的問題,
且具有配戴方便、舒適、容易清潔等優點喔!
既然3D數位隱形牙套那麼方便相對性價格上也不低,
目前新銳牙科有台系跟美系兩個隱形牙套品牌,
矯正費用從十幾萬到二十幾萬區間,
((費用依矯正情況而有價格差異))
當天牙套戴上後護士小姐會細心地進行衛教,
教導正確使用隱形牙套穿戴方式以及潔牙方法。
而數位牙套戴起來真得跟我預期一樣,
效果自然美觀又實用,
穿脫方便雖然有點需要適應但開口就像沒有戴牙套一樣,
不會有吃東西的困擾!
戴3D數位隱形牙套一年後,
周圍朋友都說:『品怡,你變美囉!』
所以隱形牙套還是選矯正專科新銳啦!超專業的~~~
新銳牙醫
【牙周病 植牙全口植牙 活動假牙牙齒矯正 兒童牙科拔智齒 牙齒美白】
店址:台中市南屯區大墩路590號
電話:04-23192009
營業時間:09:00-21:30
✦fb粉絲專頁: https://www.facebook.com/sunraydental
✦line id線上預約:https://lin.ee/sWMGtrh
✦周末: 固定公休星期日







