
台北矯正專科舒麗爾牙醫診所-陳怡如醫師為您推薦隱適美兒童矯正,該如何挑選牙齒矯正器對兒童最好
6 到 12 歲的階段是乳牙換成恆牙的「混合齒列」時期,小孩換牙時期,偶爾會發生同一位置乳牙未掉、恆牙又從旁邊擠出來,或者是乳牙掉了許久但恆牙還不見蹤影,亦或新牙長歪、鄰牙互相卡位、交錯排列等等,這麼多各種情況到底哪些只是過渡時期、會隨著長大而改善?哪些又是齒顎發育出問題,牙醫必須即早介入、趁齒顎矯正治療的黃金期趕快處理?牙齒矯正專科陳怡如醫師提供以下 6 大徵兆提醒家長注意。
牙齒矯正專科陳怡如醫師提醒家長注意 6 大亂牙警訊,尤其寒暑假來臨之際,盡早尋求專業醫師評估才能在開學前將兒童矯正計畫安排好!
第一種最明顯的就是「前牙倒咬」,外觀上看起來是「戽斗」的臉型,牙齒則呈現上排在內、下排在外的情況,有些倒咬的產生原因是由於部分後牙懸空、無法咬合,吃東西時只好將下顎前移,好讓後牙咬合而發生功能性位移(functional shift),陳怡如強調,上顎的發育期是國小階段的 10 歲左右,但下顎的發育期較晚,於青春期時會有一波大量生長,因為上下顎的發育時期不同,前牙倒咬、上排前牙卡在下排牙齒內側,在小學的上顎主要發育階段就會一直被「卡」在裡面,一旦錯過這個最佳治療時期,將來要改善這需倒咬的情況就得更費力,矯正療程恐更複雜、費時更久。
台北矯正專科【舒麗爾牙醫診所】
隱適美給妳最好的品質與舒適,精采生活不受限
☎預約專線02-27110717
點擊以下官方line@網址即可加入好友:https://lin.ee/w2Bh3bL
臉書粉絲團:https://www.facebook.com/SOREALSMILE
本院地址:台北市大安區敦化南路1段216號5樓
陳醫師指出,曾有一位小二的男生前牙倒咬,下排門牙有很多縫隙而且下巴歪一邊,經過正確的診斷,只要將關閉下排門牙縫隙,下門牙自然會內收而輕易改善倒咬的問題,
陳怡如幫他在下排牙齒黏上矯正器,原本預估半年的療程,結果竟然 3 個月就治好;還有另一位 7 歲剛開始萌發上門牙即發生門牙倒咬的病患,在下排黏上咬合斜板後,3 周就把上排牙齒推出去,改善門牙倒咬,陳怡如強調,由此可見早期正確診斷、早期治療的重要性,病患如果晚一年來、就不可能 3 周解決;但咬合斜板只能改善大方向的結構問題,如果這些孩童,能有機會接受近年來引進的兒童隱形牙套治療,則不只能改變上下顎咬合問題、連每一顆牙齒的排列和角度都能精準處理。
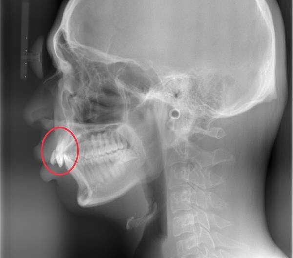
七歲孩童前牙倒咬,若不把握黃金治療期,未來矯正恐須更久的治療時間
第二種是「後牙單顆錯咬」,因齒列不整有咬合干擾,為了咬合而將齒顎偏向某邊,久而久之,咬合異常的狀況便日趨嚴重,原本因為進食才假性位移的不正常咬合,變成齒顎偏移、臉歪一邊的狀況。
第三種是「埋伏齒」,陳怡如醫師提醒家長,每晚幫小孩刷牙、或是小孩自己刷牙但家長幫忙確認清潔與否時,可以注意對稱位置的牙齒是否發育一致,陳怡如提醒,牙的左右側萌發進度有一定的關聯性,如果相同位置的左邊已經換牙,但是右邊卻遲遲還是乳牙,或是乳牙已經掉了、卻不見恆牙冒出頭等等,家長就要特別注意,儘早帶小孩回診牙醫,以確定是不是該長出來的牙齒因牙胚位置異常而成了「埋伏齒」,曾有小六學生單側犬齒遲遲未萌發,一照x光才發現這顆犬齒已橫移到門牙上方,若硬要將長歪的犬齒拉正則會犧牲門牙,最終不得已只好手術拔掉犬齒,但陳怡如強調,這位患者若早在二年級的時候就回診,當時長歪的犬齒牙根長度未完全長好、角度也還沒這麼偏,還有機會提早透過矯正的方式讓犬齒轉向,由此可見即早發現、即早治療的重要性。不過也有家長反應小孩的換牙期很長,往往忘記哪顆換過、哪顆還沒換,為了幫助家長提高辨識能力,陳怡如教大家一個簡單的方法,就是乳牙比較小顆、比較白,也就是說恆牙相對較大顆、天生也比較黃。
患者單側犬齒遲未萌發,最終只能開刀拔除
第四種是異位萌發,例如恆牙萌發角度異常,頂到前方的乳牙牙根,導致乳牙牙根提早吸收、鬆脫,造成日後齒列排列不整。
恆牙萌發角度異常,恐影響日後恆牙齒列整齊
孩童發育快、適應力強即早治療效果好
第五種是暴牙或小下巴,多數人都會以為這二種情況完全不同、很容易辨識,今年就收治了一名大學生,主訴自己有暴牙,但她診斷發現門牙的角度並沒有往前突,反而是角度過直,因而從小限制了病患下顎骨往前生長,導致下巴過於後縮,後縮的小下巴讓門牙顯得突出,才讓病患自以為是暴牙而錯怪了門牙十幾年,也錯過治療的最佳時機。醫師提醒,特別是上下顎發育的問題,一定要把握兒童上下顎骨各自的生長高峰期,藉由專業矯正醫師介入治療,否則一旦錯過了這段時機,就容易造成較嚴重的骨性齒顎不正。
錯怪暴牙十幾年,原因竟是下顎發育受限,迫使下巴生長短小
第六種是擁擠的齒列,以往牙醫師總是告知家長:待全口換成恆牙再開始矯正,殊不知換牙期的孩童有較高的生長發育潛能,若能利用此黃金時期擴弓得到空間,很有機會將未來得拔牙矯正的治療,轉換成不用拔牙的治療計畫。
除了呼籲家長讓孩童有機會即早被診斷外,陳怡如也指出,目前隱適美invisalign已有兒童專用的隱形牙套可以選擇,隱形牙套相較於俗稱「大鋼牙」的傳統金屬矯正器,後者不但疼痛、金屬線容易造成口腔潰瘍,而且不易清潔,往往要不斷告誡小孩一定要刷的徹底乾淨,不然矯正完就會有一口「非常整齊的爛牙」,但透明的隱形牙套在吃飯前拿下、吃完刷牙戴上即可,非常便利。且量身訂做舒適的牙套,對於牙齒矯正提供穩定、持續的拉力,其拉引的力道也不像金屬牙套那般容易令兒童不舒服。加上可以將引導齒顎發育與導正牙齒排列兩種重要的矯正功能畢其功於一役,因此近年來兒童隱形牙套已逐漸成為矯正醫師的首選,特別提醒家中有小學生的父母,皆應在小一小二階段接受專業醫師評估是否有矯正需求,如有,也千萬別錯失此刻牙齒矯正的黃金時期。
台北矯正專科【舒麗爾牙醫診所】
隱適美給妳最好的品質與舒適,精采生活不受限
☎預約專線02-27110717
點擊以下官方line@網址即可加入好友:https://lin.ee/w2Bh3bL
臉書粉絲團:https://www.facebook.com/SOREALSMILE
本院地址:台北市大安區敦化南路1段216號5樓




