
你聽過隱形矯正嗎?
我們一家五口唯獨我牙齒最好,但也好不到哪去……
我弟弟從上了高中後就開始做牙齒矯正,直到現在上了大學雖然牙套是拆了但維持器依然要掛條條,醫生說若是不戴維持器那牙齒會有很大機率再次走山,

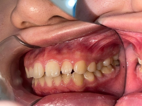
而我呢?我的牙齒雖不像弟弟那樣嚴重但虎牙位置卻長得與眾不同,歪得非常有個性,有些人會說虎牙長這樣很可愛,但我還是喜歡整整齊齊的牙齒。
所以我也做了牙齒矯正,只是和弟弟不同是我做的牙齒矯正是隱形矯正,他是傳統金屬牙套矯正,((因為他牙齒比較歪,經過評估後選擇做金屬牙套矯正
而我做隱形牙套矯正主要是同樣是做牙齒矯正,隱形牙套舒適度、便利性傳統金屬牙套遠遠不及隱形牙套來得優))

我是在台中北區超植牙醫做隱形矯正,因為這邊交通方便平常生活作息也都在這附近所以來這邊矯正前有評估幾間台中北區牙醫,論醫師專業度、診所環境、服務品質、甚至是額外的貼心術後訪問都好過其他間牙醫,恰好超植牙醫有數位矯正,醫師做隱形矯正口碑不錯,最後我就決定在超植牙醫給矯正醫師做隱形矯正。
※預約專線(04)22085801
※線上預約網址 https://lin.ee/oAXgdhz
※院所地址 台中市北區進化北路416號1樓 (鄰近中清路)
※官方臉書 https://www.facebook.com/kfx5316r/

終於到了台中北區超植牙醫,牙科接待是位可愛護士姐姐,我們喇賽了幾句後就到茶點區報到了,我是個不折不扣的吃貨!尤其是這邊的小點心真的很合胃口! 完全忘記待會就輪到我,聽到護士姐姐的呼喚才匆忙擱下手邊餅乾,替我看診是矯正醫師,稍微幫我清理一下剛剛卡在牙縫上的餅乾屑後,她也解答關於隱形矯正的注意事項,以及療程大約要多久,甚至在超植牙醫做隱形矯正還可以分期付款,這點真的不錯!而矯正每次沖水柱時都會問我會不會不舒服,真的很細心!就這樣完成人生清單的一件大事~ 

很快又過了一陣子也戴上夢寐以求的隱形牙套,坦白說自從做隱形矯正後生活發生一些小改變,就在最後簡單分享給大家吧~

1.因為牙齒矯正的開始吃東西變得很慢,很怕用力過猛牙齒會有點酸酸的感覺,後來也就習慣慢慢吃,導致很快就飽也瘦了……
2.門牙,剛戴牙套做隱形矯正的前五個月,門牙沒辦法用力咬,連軟的麵包或雞肉都很勉強導致我超想吃漢堡,最近終於解鎖一般的漢堡大口吃漢堡真的很爽!我的前排牙齒終於有力了!但還是期待矯正成功那一天可以大口吃任何想吃的東西 !

3.變得比以前更愛刷牙,剛吃飽不能馬上刷牙的時候,如果牙齒縫有卡東西就會很想用舌頭把他弄掉,不弄掉會焦慮……因為一想到又要把牙套戴回口中,菜渣和牙套緊密結合實在很不舒服,感覺一張嘴就會有口臭……所以做了隱形矯正後我幾乎牙刷漱口水不離身,也養成隨身攜帶牙線棒的習慣,把牙齒清潔乾淨後才安心戴上隱形牙套。
4.舌頭擺放位置,第一次回診的時候矯正醫師說我會習慣把舌頭頂著前排牙齒,矯正醫師呼籲我千萬要改掉!不然牙齒矯正完我的下排牙齒還是會暴出去……所以要做舌頭運動鍛鍊。
以上這些都是戴上隱形牙套生活上的小改變,分享給和我一樣都想變美美的朋友們!
※預約專線(04)22085801
※線上預約網址 https://lin.ee/oAXgdhz
※院所地址 台中市北區進化北路416號1樓 (鄰近中清路)
※官方臉書 https://www.facebook.com/kfx5316r/