故事是這樣的,郭媽媽的女兒是讓黃汝萍醫師進行隱適美青少年矯正的,但因為疫情戴口罩的緣故,療程進行了一年,黃醫師還沒看見媽媽的廬山真面目,但郭媽媽看著孩子做隱適美牙套,輕輕鬆鬆牙齒就有了巨大的改善,終於,有一天門診中,郭媽媽鼓起勇氣,主動將口罩拿下來,問黃醫師說:她也很為牙齒困擾,年輕時問過牙醫師,牙醫師告知,她的戽斗需要開刀才能處理,想到要開刀,郭媽媽決定放棄處理,也就這樣接納了半輩子….
想不到,黃汝萍醫師請他下顎動一動,輕鬆地慢慢咬起來,看是否可以門牙咬到門牙。然後,黃醫師說〝你的戽斗是假的〞如果郭媽媽不追求一定要標準完美的齒列,用牙齒矯正治療應該不難,效果仍會很明顯。
天啊,戽斗還有假的,郭媽媽當場驚呼,那我忍耐那麼久真是有冤枉啊~~~
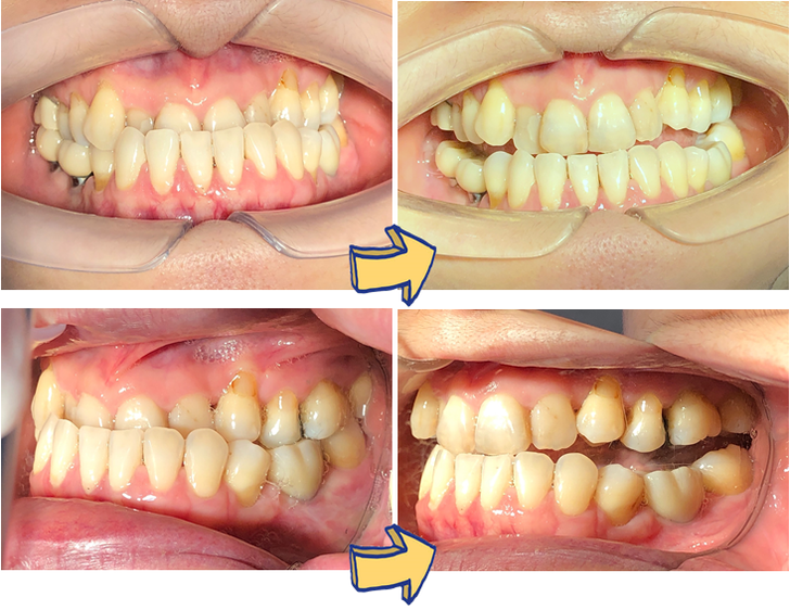
郭媽媽在聽完黃醫師的分析後,毅然決然開始她的矯正療程,然後當然得到非常開心的結果囉!
在正常咬合中,上顎所有牙齒應該覆蓋在下顎牙齒的外側,門牙也是,如果有相反的咬合,就是下顎牙在上顎的外面,就稱為錯咬。所以,若下顎門牙咬在上顎門牙的外側,也就是所謂的「前牙錯咬」,這是屬於牙齒的部分。若在側頭顱分析上,也呈現下顎骨在上顎骨的標準夾角 3度以下,甚或相反跑到上顎骨的前方,那在分類上就是屬於有骨性戽斗了,而非單純的牙齒錯咬問題。
但在戽斗的分類中,我們還是分為兩類:
真的戽斗:牙齒咬合情況完全由骨頭位置造成,無咬合干擾,下顎無法在閉合時後退到碰到上顎前牙切端。
假性戽斗:病患呈現出來的牙齒咬合,不完全由骨頭位置造成,同時伴有牙齒功能性干擾,此時,雖然咬起來時,一樣下顎前牙咬在上顎前方,但當放鬆時輕輕閉闔起來,下顎位置是可以後退,下顎前牙是可以碰到上顎前牙切端的,此時上下切端碰到的咬合位置才是病患真正的骨骼位置,常常這時側臉的外觀就沒有那麼戽斗了。
如果屬於這樣的假性戽斗咬合,單純用牙齒矯正來治療時,較常可以獲得良好的改善。
原文出處 https://www.yanadc.com/elementor-16140/
#台中隱適美 #台中牙套 #台中牙套價格


