
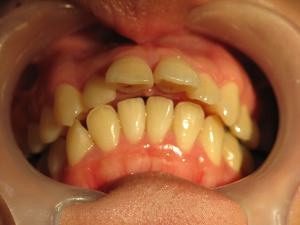
牙齒排列不整一直以來都是我最自卑的地方,
但是又不想帶著傳統矯正大鋼牙,
整個大學都在打工賺牙齒矯正費用,
也想說可以邊找尋適合的隱形矯正品牌,
(因為隱形矯正大廠牌實在是太貴了)
雖然感覺有保障,但也還是有負評,
後來想想隱形矯正眾多廠牌裡一定也是會有成功案例,
就朝這個方向去搜尋,
本身大學就讀台中西屯逢甲商圈附近,
要升大三快存到矯正費用同時,
在台中西屯逢甲商圈周圍開始地毯式搜尋,
隱形矯正評價較好的牙醫診所,
諮詢台中逢甲各家牙醫診所隱形矯正療程,
一直諮詢到最後一家全美牙醫,
看到最後諮詢的資料,是較少見的牌子Smartee隱形矯正,
矯正牙套有分日(材質較軟)、夜(材質較硬)配戴功能,
而且全美牙醫提供五年之內不滿意,免費二次矯正。

台中西屯全美牙醫Smartee隱形矯正資訊
台中全美牙醫電話:04 7018429
Smartee隱形矯正地址:台中市西屯區西屯路二段291之4號
https://maps.app.goo.gl/Zo69CEs5JPErYoWDA
Smartee隱形矯正線上預約:https://chimera.click/web/appt?i=AAAAAQQ=
Smartee隱形矯正LINE連結:https://lin.ee/7WOxgqm
FB臉書:https://reurl.cc/l7MvAj
依稀記得當初在台中全美牙醫診所諮詢時,
護理師跟我做些基本資料還有簡單詢問,
像是來矯正的原因、想改善的問題、最近牙齒上有沒有什麼特殊情況、拔牙等等…

接著就換張永芳院長來諮詢,
看著評估表的張院長,聽著敘述後,
提供些專業建議跟齒顎矯正基本知識,
透過矯正後可以解決什麼樣的問題。
接著用著專業又銳利的眼神XD
各角度分析臉部外觀,還有笑起來的樣子、嘴唇形狀等等,
說明得比之前聽的都還要仔細,
這也最後評估下來,
決定在全美牙醫做隱形矯正評估原因之一,

再來就是基本的資料蒐集,
包含臉部照片、口內牙齒照片、X光照、側臉臉部分析圖,及口內牙齒取模,
一樣是護理師簡單跟我溝通後,
就換張院長詳細說明拍攝的資料重點,
內容大概就是臉部軟組織與骨骼分析,
除了暴牙的部分,張院長還說我門牙上有個小洞,
建議也可以一起關起來(放大細看後缺點一覽無遺),
如果有什麼特殊需求,也能在這時候跟醫師討論,

到這個步驟內心已經非常興奮啦!
計畫了這麼久的隱形矯正,終於要真的實踐了!
畢竟牙醫診所很多,
可是能遇到比患者對自己牙齒要求還嚴格的牙醫師並不多,
而且全美牙醫還能喝咖啡機現泡喝咖啡(誤),
奉勸大家找隱形矯正牙醫,有疑慮就去諮詢吧~

目前還在Smartee隱形矯正菜鳥階段,
也非專業人士,以上隱形矯正諮詢皆本人感受,
若有敘述的不清楚專業的地方,還請大家包容哦。
再附上一次診所資訊,也可以直接上地圖上搜尋"台中全美牙醫"

台中西屯全美牙醫Smartee隱形矯正資訊
台中全美牙醫電話:04 7018429
Smartee隱形矯正地址:台中市西屯區西屯路二段291之4號
https://maps.app.goo.gl/Zo69CEs5JPErYoWDA
Smartee隱形矯正線上預約:https://chimera.click/web/appt?i=AAAAAQQ=
Smartee隱形矯正LINE連結:https://lin.ee/7WOxgqm
FB臉書:https://reurl.cc/l7MvAj