老實說,幫爸爸找牙醫做全口重建這件事,我考慮了很久。爸爸今年68歲,這幾年牙齒狀況真的每況愈下,吃飯總是囫圇吞棗,要嘛是活動假牙鬆掉、要嘛是牙齒搖搖欲墜,一開始他自己也很排斥植牙,覺得「這年紀了就這樣吧」,但身為女兒真的看不下去,尤其看到他吃東西變得小心翼翼,甚至不敢咬排骨、蘋果時,我決定一定要帶他去好好處理。
上網開始做功課的時候,老實說資訊多到有點眼花撩亂,我先從 PTT 和 Dcard 找「台中 All-on-4」、「全口重建」、「台中牙醫推薦」這類關鍵字慢慢爬文。慢慢地我發現很多人都提到台中生活牙醫診所不但技術專業、價格透明,而且對長輩非常有耐心,這點對我來說非常重要,因為爸爸本身就有點怕看牙。
最後我們選擇的是位於台中南屯的一間口碑不錯的生活牙醫診所,網路上不少人都說他們的 All-on-4 做得很自然,手術前會完整評估,而且後續追蹤也很到位。
第一次到診所諮詢時,我跟爸爸都滿驚訝的,整體環境比我們想像中舒服很多,不像傳統牙科給人冰冷、有壓力的感覺。櫃檯的小姐很親切,帶位與說明都非常有耐心,讓原本有點緊張的爸爸也慢慢放鬆下來。
醫師諮詢的過程也讓我們很放心。他詳細解釋什麼是 All-on-4,包括怎麼植牙、會不會痛、術後恢復期有多長,還用模型跟3D電腦模擬畫面說明植體位置和咬合設計,讓我們一目了然。最讓我印象深刻的是他完全不會推銷,反而會站在病人的角度建議我們是否真的需要做到這個程度,這份誠意真的很打動我跟爸爸。
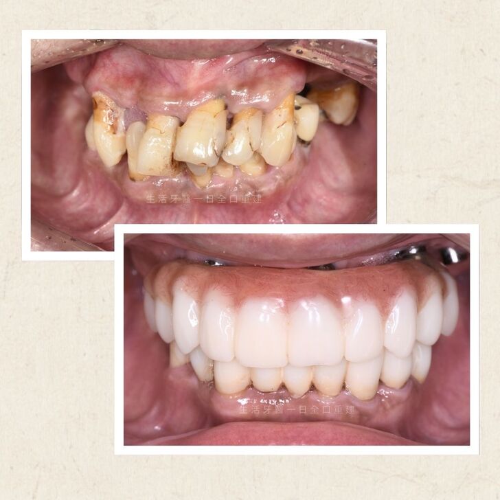
評估過後,因為爸爸上排牙齒狀況較差,醫生建議先從上排做 All-on-4,四根植體固定全口假牙,手術採用數位導引植牙的方式。手術當天爸爸雖然還是有點緊張,但整個團隊都非常熟練又溫柔,手術比預期還快結束,而且當天就把臨時假牙裝上去了,術後也安排了緊密的追蹤跟飲食指導。爸爸回家後只有小腫脹,並沒有嚴重不適,大概三天內就能慢慢吃些軟質食物了。
等正式假牙裝上去的那天,我看到爸爸笑得超開心,而且假牙看起來跟真牙幾乎一樣,咬合也非常穩定,吃東西完全不會滑動。他甚至跟我開玩笑說:「你老爸現在牙口比你還好耶!」(笑)
這次的 All-on-4 療程雖然是筆不小的投資,但我覺得非常值得。看到爸爸找回自信、不再避開跟親戚吃飯、笑起來也更自然,身為女兒真的覺得安心又感動。而且診所給的價格很清楚,分階段說明費用,沒有亂加價或隱藏收費,這點真的要大大推薦。
如果你家中也有長輩牙齒狀況不太好,想恢復正常飲食與生活品質,我真心建議可以考慮台中這類專業的生活牙醫診所,特別是對 All-on-4 有經驗的診所,不只能恢復外觀,更重要的是提升長輩整體生活的幸福感。
人生六十才開始,牙齒健康真的不能省,爸爸現在每天都能開心吃飯、安心笑,我也終於放下心中的一塊石頭。
生活牙醫診所 台中旗艦店
04-2254-6060
台中市南屯區公益路二段525號
https://www.gracelife.com.tw/
