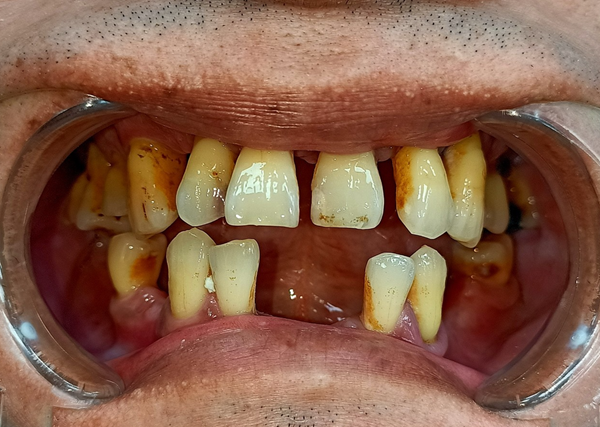
老實說,身為一個小上班族,看著 62 歲的爸爸每天看著想吃的東西不能吃而皺著眉,好像咬一口肉也能把人生咬到困擾深處,真的會心酸。爸爸年輕時抽菸抽得兇,當年覺得「沒事啦,大家都在抽」,結果這些習慣在他退休後開始反撲。牙周開始惡化、牙齒掉掉補補,最後甚至變成多顆脫落。每次吃東西咬一咬,突然跟我說「欸齒套跑掉了啦…」我真的不知道該笑還該擔心。

他也曾做過活動假牙,但不是太鬆、吃到一半滑出來讓他超尷尬,就是太緊讓牙齦痛到爆炸。甚至一個月跑診所兩三趟只是為了微調活動假牙,我看他調到心都累。久了連講話都變得不太敢張嘴,跟朋友聚餐也開始很少出去。身為女兒,看得真的很不是滋味。
直到跟他討論到台中北屯區的新華牙醫找資深牙醫師-朱裕華詢問試看看,人生第一次看到他對治療這件事情抱有期待的眼神。
新華牙醫環境乾淨明亮,設備還齊到不像牙醫,有點像醫療中心等級。從2D影像X光片、3D 斷層掃描、口掃機、獨立植牙室、高壓氧艙,甚至連水雷射輔助植牙都備好了。作為家屬,我最在意的就是「安全+穩定+術後照顧」,而新華牙醫基本把這些疑慮一次打包歸零。

朱裕華醫師本人則是那種你坐下就會放鬆的類型。他不是那種只講專業名詞讓人聽到頭痛的牙醫師,而是會把爸爸牙周狀況、骨質流失、抽菸造成的長期影響一個個講清楚,也不會嚇唬你,反而是很務實地分析什麼方案能真正改善讓重建後的口腔可以穩固不擔憂。當他說到 All-on-8 是目前最適合爸爸方案時,明顯看到老爸滿心情期待點著頭的表情。
至於為什麼最後會想選擇 All-on-8做治療,實屬以前爸爸最怕的兩件事:
一、講話講到一半假牙鬆脫
二、吃東西吃到一半假牙卡到痛得皺眉
All-on-8是在牙床上植入八顆植體,把整個牙弓的咬合力穩穩固定好,咬東西不會再滑、也不會再卡。採用微創植牙方式藉由水雷射進行手術讓傷口更小、流血更少,術後當天就能裝臨時假牙,意思就是終於不用忍著沒牙的幾個禮拜。對爸爸來說,那簡直像獲得新生。
進行全口重建手術前醫師還特別安排 3D 斷層掃描和口掃機的資料做完整規劃,連植體深度、角度、品牌都幫規劃最適合的那款。

做完 All-on-8 那天,爸爸戴著全口臨時假牙的模樣瞬間從62歲降齡到50出頭,有沒有牙齒對一個人的樣貌影響真的很大。
手術後兩個禮拜內我爸相當遵守醫囑,以流質食物為主慢慢等傷口癒合,期間新華牙醫還特別安排幾次高壓氧艙乘坐,據說高壓氧艙可以幫助血氧提升,傷口恢復性也會跟著變好,初期從口內少少牙齒到整口有牙,我爸還在適應中。
第二周之後他吃飯速度變快、咀嚼變穩、講話也不會含糊或痛到結巴。以前我以為牙齒不好只是吃東西不方便,但陪爸爸這一路下來我發現牙齒真的會影響一個人的自信、心情、社交甚至生活態度。All-on-8 對爸爸來說不是醫療,是重新整理人生的一次重啟鍵。
牙齒不好還是早點治療好,生活品質才會跟著好,E世代線上都能約診(https://link.dentco.tw/832e33d6),不需要打電話等半天。
診所社群平台也可以先看看環境跟醫師介紹:
https://www.facebook.com/HsingHua.22473558

有時候,讓家人重新找回笑容並不需要什麼豪華禮物,而是一個能讓他們吃得好、講得順、笑得開心的選擇。爸爸現在每天都笑得比我還開,我常常想——早知道他會變這麼有活力,當初應該更早拉他去做。
