我媽的牙齒長的真的沒有很好
不知道是老一輩小時候沒有認真刷牙
還是他的生活習慣不好造成的

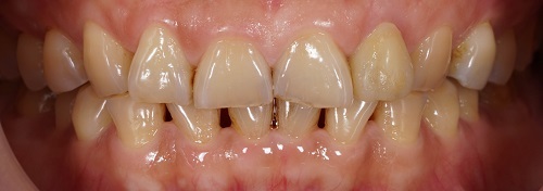
這是他本來的牙齒,醫生給我看照片的時候才發現下排牙齒很不整齊
後來陪我媽做完全口牙齒美白貼片

整個好很多欸!
醫生說法是說,就像幫牙齒先清潔整理,然後做一個新的牙齒
類似這種概念,讓我媽以後開口說話或是笑容整個漂亮很多
我是沒這種困擾啦哈哈,希望以後也不要有
不過陪我媽去才發現,這間診所醫生都很溫柔而且環境神美

這間展悅牙醫真的還不錯
附上官網介紹>https://goo.gl/xsYtwL
分享給大家~