
你能想像在家裏面睡覺時就能將牙齒做美白SPA嗎??
本來以為想做牙齒美白就一定要不時去牙醫診所看診
壓根想都沒想到隨著時代進步連牙齒美白也有新技術重點是價格一點也不貴
喜歡外拍或是新嫁娘真得可以考慮一下使用這樣牙齒美白方式
會接觸到睡眠美白也是因為替我植牙的吳醫師推薦
當側門牙做完植牙手術之後就一直對自己周圍其他幾顆牙色不太滿意
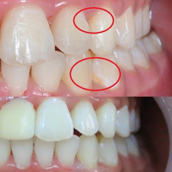
尤其是牙齒靠近牙齦地方黃斑特別嚴重
著色很深怎麼刷牙或用美白牙膏都無法去除

當時吳醫師有提到如果對於牙齒有色差
可以考慮他們院內獨家”睡眠美白”技術來做牙色調整
當下聽到睡眠美白感到十分疑惑??!!

因為從沒聽過有這種牙齒美白方式
只知道現在很流行冷光美白、貼片美白或是居家美白…等牙齒美白方式
後來吳醫師才緩緩地說明~

這項牙齒美白技術目前只有他們診內-矯正專科曾仁芬醫師會操作
有需要可以協助轉介讓曾醫師為小白我做評估
櫃台可愛小護士則為我掛號一個禮拜後曾醫師門診讓小白我可以跟醫師做討論

超植牙科在台中是我看過幾間診所裡面環境還算不錯地
他們診間位在診所二樓,一樓則是櫃台與看診等候區
候診區經常會換上不同盆栽擺放在室內感覺很有別有一番朝氣

櫃台護士小姐很親切可愛
有時候請教一些牙齒保養問題還會特別細心教導
專程在他們二樓診間拿出牙線來親自做教學
一邊教還一邊說做睡眠美白前牙縫裡面一些細微殘渣需要清理很乾淨
不然睡眠美白藥劑擠到牙套上只會美白到殘渣不會美白到牙齒這樣就浪費哩

上到二樓診區就可以看到一排排診療椅
每個診檯上器械與診檯護士都為他們穿上藍色小制服
一回忍不住問護士為什麼器械都要包覆成這樣?!

曾仁芬醫師剛好聽到就稍微為我說明:
「牙齒治療屬於半侵入式治療
有時候做治療會產生一些口水、血液…等等液體會沾附到器械上
為保護下一位患者治療時不被交叉感染
看診完後都會將這些器械做消毒清潔
藍色隔離紙就是用來做簡單細菌隔離
才不會透過觸碰而四處沾附
為環境衛生做好把關這樣患者來看診也會比較安心啊。」

施作睡眠美白前曾醫師為小白洗牙將一些藏匿在臼齒附近牙結石稍做清除
然後再把一些有蛀牙的地方做補牙
之前沒讓曾醫師看過診很擔心洗牙時會痛或是流血
很慶幸讓女醫師洗牙果然可以免於皮肉疼痛

整個洗牙過程醫師輕手輕腳還一邊安撫我不用怕快好了
本來有點想偷懶用當天可完成的牙齒美白方式-冷光美白
不過曾醫師替小白檢查牙齒洗牙之後
反倒建議小白使用價格費用便宜冷光美白一半以上只需要幾千塊的居家睡眠美白
主要是醫師看過我牙齒目前色斑並不嚴重大多在靠近牙齦地方
加上本身琺瑯質不厚,若用速成冷光美白牙齒會變得比較敏感

容易在飲食時有痠疼情況產生
若使用這款居家型的睡眠美白
只要在睡前清潔好牙齒後將藥劑擠在牙套上睡覺時做配戴
一個晚上大約6-8小時睡眠時間白天取下
連續使用兩週就可以看到顯著效果囉!

(大部分去外面消費別人都是推薦消費貴的產品,曾醫師反倒與其他人不同是推薦適合我的產品)
拿到睡眠美白牙套當天醫師拿出美白牙套親自做操作教學
看起來美白過程還蠻簡單地
小白我取回睡眠美白套組到家後第一天使用上有點卡卡不太會拿捏藥劑多寡
一管牙齒美白藥劑三天就被我擠光光
接下來擠到第五天已經很會拿捏手感

平均一管睡眠美白藥劑可以用上五天左右
用到第七天周圍已經有朋友觀察到我的牙齒有變白
或許有假牙襯托的關係,別人一看就能發現假牙反而變得比真牙黃
看來這款睡眠美白的確有這個價值
省下冷光美白費用來做居家型睡眠美白感覺很值得喔!
