
在美國念書這幾年如果生病不舒服都不敢去看醫生
這次牙痛到受不了吃止痛藥也無法止痛只好硬著頭皮去看牙醫
第一次踏進美國牙科診所還好我的破英文醫師聽得懂
療程結束後口袋裡面台幣五千元也就跟著消失無蹤
美國高物價是眾所皆知
牙齒治療費用更不用說


遇上新冠肺炎返台休假計畫的就是回台灣看牙齒
返台居家隔離這幾天閒來無事
當然要先做網路搜尋看在台中大雅附近有哪間牙科診所評價好又方便的
透過臉書有看見許多人推薦幾家網路上頗具好評的台中牙科診所
等不及先透過網路線上了解蛀牙治療細節
沒想到找三家詢問只有一家比較迅速給予回應
一家沒讀也沒回另一家更是在六個小時後才回覆我
雖然在詢問過程中沒有得到治療細節答案
不過迅速回應的態度就讓我決定要到台中大雅區新全美牙科診所看診
不知道是不是離開台灣時間太久


這家診所預約掛號費用只有100元和美國相比還蠻便宜的
這間牙科門面還算乾淨雖比不上美國地廣診所大間
至少在環境衛生上感受起來很舒適
護士小姐也很親切 才靠近櫃台就面帶微笑站起來迎接我
櫃台小姐雪白牙齒讓我忍不住詢問她是如何保養
去美國念書前配戴過金屬矯正器兩年多時間

看過傳統金屬矯正器的人都知道
大鋼牙很不容易清潔牙齒
尤其是常喝咖啡、茶類、有色食物矯正牙套縫隙間幾乎很難清潔
當矯正牙套拔下來之後就很明顯只有固定器位置牙色較白
其餘地方牙齒顏色則是黃黃地
曾經有用許多美白牙膏一條五百多元也沒太多效果
這回看到護士雪白牙齒實在有厲害到
一問之下才知道是做居家牙齒美白

心動到輪到我上樓讓牙醫師檢查時也詢問是否能做睡眠美白?!
為我做蛀牙檢查的牙齒矯正醫師人超級好
告訴我別心急~可以先把蛀牙治療好再做睡眠美白
於是就拿起口腔鏡跟器械在嘴巴裡面一陣處理
過程中牙醫師沒有在牙齦上麻醉藥

原以為治療蛀牙會很不舒服得痠疼 居然意外到沒有太多不適感
才一下下牙醫師就把蛀牙給補好 順便也跟矯正醫師諮詢一下睡眠美白怎麼做
沒想到做牙齒睡眠美白比想像中還輕鬆簡單不需要時常回診在家就可以操作
只需要找時間到牙科診所製作專屬自己牙型的塑膠牙托
美白牙套有點像是實在很夯的隱形牙套
每天睡前在牙托上面輕輕擠一點點如米粒大般美白藥劑
睡覺時戴上6-8小時就可以拿下
持續每天晚上睡前做牙齒美白大約操作2-6週左右
牙齒就可以透亮好幾個色階
詢問睡眠美白費用價格幾千元就有
光想到之前在美國看牙醫補牙就花掉台幣五千元牙齒還是黃黃地
這區區不到一萬元價格睡眠美白一點都不貴

台中矯正牙科資訊:新全美牙醫診所 台中市大雅區民生路三段498號 (04)25681669
專人線上預約服務:https://www.facebook.com/sjl8100o/
官方LINE@加入網址 : https://lin.ee/b9vq81T
礙於剛補好牙無法即刻做咬模牙醫師很親切安排隔天到院內做試模
大約一周左右就可以拿到睡眠居家美白牙托
取回家的Opalescence睡眠美白套組裡
裝有舒眠美白牙套跟四支牙齒美白藥劑可以使用
另外還附上一管氟膠用在取下牙套刷牙之後鎮定牙齒敏感度
透明稠狀美白藥劑裝載在針管裡面
從後端輕輕往前推擠就可以擠出藥水弄在牙套上
牙醫師交代只需要米粒般大小的藥劑即可也不需要用多
晚上睡覺戴上美白牙套後就不能喝水跟吃東西
不然會將藥劑吞下肚子裡面
早上起床拿下牙套後可以用牙刷稍微清理牙托即可


氟劑是用在美白後保護牙齒琺瑯質使用
刷牙後在牙齒表面上用棉花棒塗上薄薄一層就好
美白牙套可包覆口腔裡12顆牙齒 拿到美白牙套時覺得奇怪為何不是每顆牙齒都做?
後來醫師解釋一般人微笑牙齒能見度是上面8顆牙、下面8顆牙俗稱牙齒美白微笑曲線
牙套包覆的這上12顆牙、下12顆牙已涵蓋微笑曲線範圍
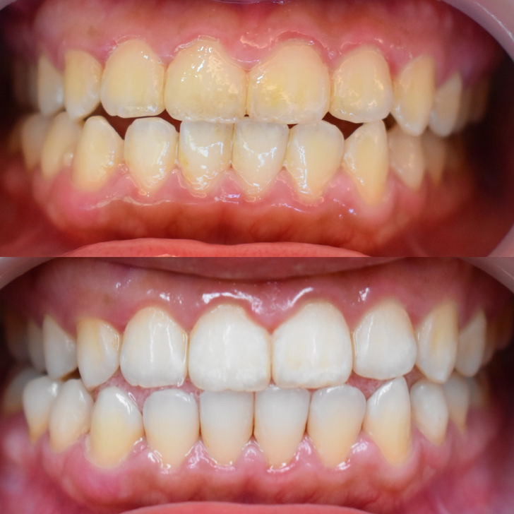
目前已使用大約兩周左右時間
天天看自己牙齒還感覺不出來有什麼變化
拿出牙齒美白前照片才驚呼差別還蠻大的
難怪現在網美、網紅個個都在推薦做牙齒美白啊!
Opalescence睡眠居家美白套組使用上很簡單
也沒有什麼不適感和副作用非常適合做完牙齒矯正的人使用
唯一要留意的部分就是美白前要先做蛀牙治療
不過有蛀牙沒有補好還是容易會造成牙齒敏感
所以尋找有醫師替患者把關的牙科先檢查再做牙齒美白還是稍微有些保障
台中矯正牙科資訊:新全美牙醫診所 台中市大雅區民生路三段498號 (04)25681669
專人線上預約服務:https://www.facebook.com/sjl8100o/
官方LINE@加入網址 : https://lin.ee/b9vq81T