
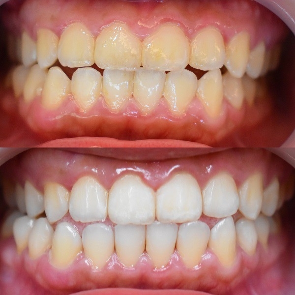
在今天,我在新銳牙醫接受了牙結石的治療(其實就是洗牙),結束後頗有感想,於是打出這篇文章。
其實會去新銳牙醫洗牙治療牙結石堆積的契機是學校健康檢查異常,照著檢查表上的連絡資訊才找到這間台中南屯牙醫,不洗不知道!一洗不得了!在來到新銳牙醫前我對牙結石真的是一無所知。

這間美倫美奐的牙醫診所位在台中南屯區大墩路上-新銳牙醫診所,明亮落地窗讓牙科灑滿溫暖陽光踏進去看診就有一種舒適氛圍,掛號櫃檯旁邊有自動酒精消毒器可以做清潔,接待護士講話非常溫柔親切大大減緩人們對於看牙的恐懼情緒。

洗牙
正常人半年到一年之內就該洗一次牙。此外健保也有補助洗牙,像我到這間新銳牙醫只需負擔150元掛號費,就可以開始洗牙囉!
新銳牙醫劉有恆醫師表示:洗牙能較徹底的清潔牙齒上附著的菌斑、結石及沉積在牙齒表面的色素,使牙面變得更光滑,從而減緩菌斑的附著。
搭配平時正確的口腔清潔,就能更妥善牙齒健康 !
【新銳牙醫與您共同迎向健康美齒】
▋臉書粉絲團:https://www.facebook.com/sunraydental/
▋line@搜尋id: @513mtlan
▋line@加入網址:https://lin.ee/sWMGtrh
▋電話:04-23192009
▋地址:台中市南屯區大墩路590號

透過洗牙治療牙結石堆積的技巧
普羅大眾所說的治療牙結石其實就是俗稱的洗牙,而我這裡說的技巧不是指牙醫師洗牙需要具備什麼技巧?而是你在洗牙時能做的事。
有些人會想說「洗牙會不會痛?」,答案是會,但疼痛度因人而異,主要還是心理壓力作祟,那洗牙該怎麼辦呢?最重要的一點是遵照醫生的指示,醫生不會把你的牙齒洗壞,所以不要害怕。
在洗牙前,醫師會在你的嘴裡塗抹有顏色的藥劑就是俗稱的牙菌斑顯影劑,那是為了讓牙菌斑顯現出來,使醫師做更準確的洗牙治療!

像我是第一次洗,顏色覆蓋了牙齒一半的面積,牙菌斑是很多的。
新銳牙醫師劉有恆的任務就是將有顏色的部分清掉,上下顎洗牙的清理所需時間會落在十分鐘左右,很快的。
而為了清理乾淨,儀器的水柱難免會噴濺到牙齦,這就是洗牙會痛的原因。
尤其經常熬夜或是睡眠不足的人洗牙時就容易牙齦發炎紅腫或是流血
如果因此而亂動的話,不只會影響到你自己,還會降低醫生洗牙的效率,因為緊張怕痛不敢洗,而醫師也不想讓你有不好的療程體驗,所以就沒有將牙結石清理得很乾淨反而會拖長你痛苦的時間,形成負面循環啊!
所以接下來我要來講如何舒緩疼痛感。
第一:口腔不要亂動,雖然很像廢話,但卻是最重要的!
要是亂動而造成舌頭或是嘴唇等其他部位碰觸到儀器,那是比牙齦更痛的。很多人就是因為在洗牙的過程中口腔亂動,造成水柱或鑽頭噴濺口腔造成舌頭破嘴巴破!
而我們該如何防止亂動呢?

我的方法就是用鼻子呼吸,不要用嘴巴呼吸。
一來避免你可能會將口水吸入喉嚨而嗆到
二是不會動到首、頸部
三適時深呼吸可以使你放鬆,並舒緩緊張感
要是覺得嘴巴很酸,可以在舉手示意牙醫師,牙醫師會馬上停止動作。
一個簡單的概念卻可以一兼二顧,摸蜊仔兼洗褲!
牙面清潔完畢後,就只剩牙齦了。
說實在的清洗牙齦時的痛是無法避免的,但可以舒緩的!
你要將全身都放輕鬆,將右手或左手其中一隻貼齊、放在大腿上。
像新銳牙醫有提供舒緩緊張的按摩球讓你捏著分散注意力。
如果大家去的牙醫沒有按摩球你們也可以用食指適時壓一下大腿,分散注意力。
注意!動作不能太大或太用力,否則會導致身體移動,進而發生上面提到的狀況!
如此一來,清洗牙齦的痛也有了解決之道了。
當你遵守了以上原則,但還是發生了意料之外的事而讓你覺得不舒服就馬上向牙醫師示意暫停,劉醫師也會主動告知若有不適問題都可以隨時舉手,醫師就會停下洗牙流程讓病人喘口氣。待恢復後再繼續進行。
另外,有些人在洗牙的時候會流血!那是牙齦發炎比較嚴重所產生的反應,只有認真刷牙、洗牙、少熬夜才能消除炎症,出血就會減少或消失。
洗完牙後,你可能會有「牙縫變寬了」、「牙齒感覺怪怪的」「牙齒會特別敏感」這些感覺。
其實,牙縫本來就這麼寬,只是牙結石填滿了這個縫隙,所以這是正常的!
你的牙齒長期被牙結石包覆,卻突然重現光明時,一定會覺得奇怪,但一段時間後這感覺就會消失,所以這也是正常的。
不過遇到心思細膩、手腳俐落的牙醫師確實有那種無痛洗牙的感覺,對於怕痛怕看醫師的人來說要找到好牙醫簡直是個福音

結語
新銳牙醫劉有恆醫師告訴我:預防牙結石堆積產生是一件很重要的事情。
因為各位帥哥和美女應該都希望牙齒看起來很白、很漂亮,不希望成為一個嘴巴聞起來有異味吧?
想要達成這個願望,就必須更在乎日常的口腔清潔,正確刷牙、使用牙線、定期洗牙並且持之以恆。
如果平常外出不方便刷牙,牙科還提供隨身瓶漱口水讓病患帶回家好好保養牙齒。
這是我第一次打這麼認真的文章,因為這件事可以造福人群。
感謝你看完了這麼長的文章,我希望你能將這篇文章推廣出去,讓更多人看見並重視洗牙這件事情,共勉之!
【新銳牙醫與您共同迎向健康美齒】
▋臉書粉絲團:https://www.facebook.com/sunraydental/
▋line@搜尋id: @513mtlan
▋line@加入網址:https://lin.ee/sWMGtrh
▋電話:04-23192009
▋地址:台中市南屯區大墩路590號
