
跟大家一樣琪琪牙齒排列雖然整齊
但是卻很黃…
之前朋友介紹推薦台中美白貼片
貼片價格便宜十分誘人
我們姊妹倆就手牽手一起預約踏入人生第一場貼片體驗
誰知道卻是一場惡夢開始
那間美容館打著不用磨牙齒
美白貼片價格低就能維持長效亮白牙齒
聽著美容師介紹療程覺得又快又方便
來兩趟就能完成整項上下兩排各八顆牙齒
整體費用比牙科診所價格便宜許多
看過幾個完成案例心動不已
沒有做功課情況下
琪琪跟朋友就花了幾萬元決定做美白貼片
剛做好牙齒貼片幾個月都非常完美
頂多就是牙縫不太好清潔牙線卡得很緊
漸漸在一年多之後竟有幾顆牙齒逐漸斑駁、脫落、缺角
等等諸多問題日漸浮現

才知道當初選擇的樹脂美白貼片不是合法治療
所以才會有樹脂貼片價格便宜誘人這樣的事情
上網爬文後才曉得許多人做完都後悔不已
後悔自己貪小便宜
只好摸摸鼻子回頭找台中牙科求助

這次不再聽信朋友推薦台中牙科
只好努力爬文翻找能處理那個惱人樹脂貼片的牙醫
問過幾間台中牙科都不願意接手
好不容易在南屯雲康找到醫師肯協助將樹脂貼片卸下

恰巧雲康牙科有做陶瓷貼片療程
順道就詢問美白貼片費用價格等資訊
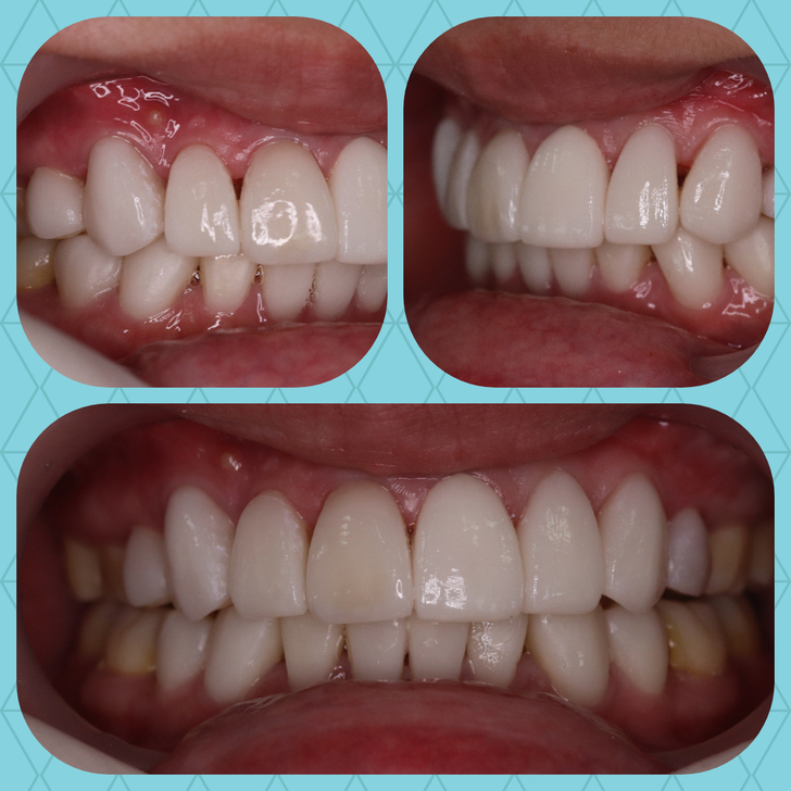
結果換算下來每片全瓷貼片才一萬初非常便宜值得
二話不說當然直接約診
除了想卸除樹脂貼片外
也期待這次全瓷貼片過後能擁有一勞永逸亮白牙齒
琪琪跟大家分享在台中牙科做美白貼片會有哪些步驟
全瓷貼片步驟一:牙齒檢查
牙醫師需要先確認有沒有蛀牙問題
或是根管治療過的牙齒
倘若有的話都需要先治療後才能做貼片
全瓷貼片步驟二:蒐取資料
藉由咬模這項過程蒐集牙齒形狀
進而量身打造一比一牙齒比例來模擬貼上美白貼片後樣子

全瓷貼片步驟三:療程進行
蒐集資料後一周醫師就會安排做貼片黏著
上下排牙齒分成次兩次療程來進行
主要是每顆牙齒大小、齒縫不同
醫師需要調整齒縫才能將貼片黏著在牙齒上
故會將齒面稍作研磨部分齒質再貼上
這個步驟花費時間最長
療程前醫師會在抹上薄博一層麻藥
這樣會降低齒質調整時酸酸感覺
全瓷貼片步驟四:完成療程後觀察
當上下牙都貼上陶瓷美白貼片後
會有一週左右時間醫師請琪琪觀察咬合
像是平常吃東西會不會有貼片脫落問題
或是在咀嚼時有沒有感到牙齒太高、太低問題
若回家覺得哪顆牙齒顏色較為暗沉也能跟牙科反應

全瓷貼片步驟五:注意事項
因為貼片是全陶瓷研磨製作而成
整體厚度相當薄有點像是指甲片一般
貼上第一周在飲食上要非常注意
需要先使用後牙臼齒咀嚼
等待觀察期過後就能正常飲食
期間雲康牙醫護士都會撥電話來關心使用情況
有任何不舒服地方都能用官方LINE
https://lin.ee/nnwdurT 跟牙科聯繫
除了剛裝好美白貼片前兩周比較多要小心的地方外
之後其他日子是應後完全沒有不舒服或是不便之處
更不用擔心美白貼片脫落、斑駁問題
實在太棒了!!!
如果你也在尋找哪裡可以做陶瓷美白貼片
不妨參考台中南屯雲康牙醫診所
■ 電話 : 04 2258 1238
■ 地址 : 台中市南屯區黎明路2段319號