下排的臼齒缺了很久一直沒去處理
原本以為少一顆牙不會有太大影響
但後來發現吃東西變得有點卡卡的
左右兩邊的牙齒的使用不太對稱
感覺有點大小臉了 所以朋友有建議我裝假牙
不過總覺得植牙才是更長久的解決方式
於是我到了公司附近的聖偉牙醫診所
想了解一下植牙的細節

▲植牙前的狀態
聖偉牙醫在我們公司這邊很有名
尤其是林子揚院長
聽說他是很有名的植牙權威
很多人都是慕名而來
甚至還有些患者在其他地方植牙失敗後
選擇來找林院長幫忙解決問題
我這次預約向他諮詢
院長在診間裡非常仔細地檢查了我的狀況
並根據狀況做了詳細的說明
讓我充分理解了植牙大小問題
林院長的諮詢是需要額外收費的
不過我覺得非常值得
在他非常用心的說明過後
讓我更了解植牙的優缺點以及後續的照護
當天就確定要請林院長來為我植牙
植牙的過程其實沒有很可怕
因為有上麻藥的關係
基本上是不會有痛感的
術後感受會稍稍明顯一點
腫脹的狀態在幾天後就消退了

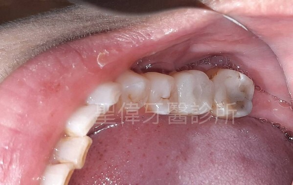
▲植牙後的狀態
植牙後的狀態非常的滿意
比我預期的還更自然
真的很謝謝林院長的用心
讓我可以擺脫這個長久的困擾
最後在這邊也附上聖偉的網址
給有需要的朋友參考看看喔
https://pse.is/6l398m