我以前對牙齒的事真的不太上心,印象中右下那顆小臼齒是幾年前在別的診所拔掉的,當時也沒多想只覺得拔了就好了,反正旁邊的牙還在咬東西也還算可以,直到最近吃東西常常覺得那邊空空的,有時候邊咬、邊覺得不太對勁,那時候才開始意識到那顆牙好像真的不能少…

▲植牙前的狀態,大臼齒前面空一大塊,咀嚼真的大受影響!
我公司就在行天宮附近,這一帶的聖偉牙醫本來就蠻有名的,很多同事平常看牙也都是去那裡,有一次提到考慮植牙的事,同事馬上推薦我可以去找林子揚院長,很多人都是指定給他看,連之前在別家診所植牙有問題的也會來找他調整,聽完我就立刻預約了,有需要的朋友也可以去官網看看,裡面會有很多相關的資訊還有一些看診後的分享可以參考https://www.sendwelldental.com/。
第一次走進診所時印象超好整個環境乾淨明亮,淡淡的精油香味讓人一進門就放鬆不少,在一開始預約的時候就有說明林院長的諮詢會收費,因為會講得比較完整,我覺得這點很合理。
院長真的讓人很放心先幫我看整個牙齒的狀況,再慢慢和我分析為什麼那顆牙的位置很重要、長期缺牙會影響咬合,甚至可能造成鄰近牙齒位移,他也沒有一直要我趕快決定,這個態度真的讓我覺得很體貼也打動到我,所以就決定要在這邊請院長幫我植牙。
植牙那天其實超緊張,但在診間的時候看到旁邊有幾顆水晶,整個心情就平靜很多,手術過程不長~也沒有我想的那麼可怕,術後大概休息幾天就恢復得不錯,重點是整個過程林醫師都很細心,也會一步步說明現在正在進行的步驟,讓我完全可以放鬆配合。

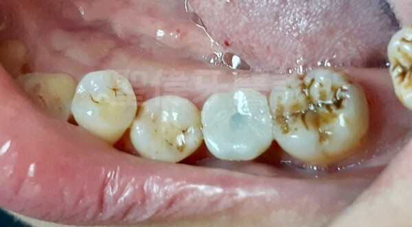
▲植牙後的狀態,外觀跟咬合面都很自然,成果比我預期的還更滿意!
現在那顆牙植好之後,咬東西變得輕鬆很多,能感受到有沒有牙真的差很多,後來每次回診還記得我之前提過在哪上班,印象還有一次說很怕吃甜會蛀牙,他還提醒我吃之前可以先刷含氟牙膏來保護牙齒,這種細節讓我覺得他不是只把我當一個病人,而是真的記得我的故事,我也很慶幸自己當初走進了這家診所,現在終於可以放心笑、安心吃XD