我上班的地點在中山區,附近其實有很多牙醫診所
但老實說我一直都對看牙這件事有點抗拒
也不是什麼嚴重的陰影,就是從小看牙醫都覺得緊張
治療的器具聲一響,就下意識全身發緊
再加上之前拔過一顆蛀得太深的臼齒留下了空位
也留下了一點還是先不要碰它的逃避心態
▼雖然外觀看不到
可是在吃東西的時候是真的很有感
不需要特別提醒也能感知到的空缺

臼齒少了一顆咀嚼常常偏一邊
吃堅果、咬水果也開始覺得吃力,同事們看不下去
順勢大力推薦我去附近的聖偉診所
他的門牙植牙以及他母親高齡80歲的植牙
都是在這間診所給院長林子揚醫師處理的
下班時路過我就特地繞去看一下
診所門口那種很不像牙科的設計
木質溫暖又安靜真的讓我好奇起來
回家查了一下網路評價
發現林子揚院長好像真的很有名
尤其在植牙這塊口碑很不錯
終於鼓起勇氣預約了院長諮詢
說實話一進去就覺得氣氛跟印象中的牙醫很不一樣
沒有刺鼻藥味也沒有冷冰冰的燈光
院長本人也不是那種匆匆帶過的醫師
他會先讓你講自己的狀況,再一步一步說明
像我這種少了一顆臼齒、骨頭狀況還算健康的人
其實滿適合做植牙,而且現在的技術傷口小、恢復快
不用想像得那麼可怕,他是很親切、專業又相當有耐心的醫師
當下我腦海浮過的是真該早點來的念頭
後續先把其他牙齒的問題治療好,才進行植牙
除了院長之外其實其他醫師也很不錯
https://www.sendwelldental.com/
有想了解更多很推薦大家去官網看看
植牙當天比我預期中順利很多,過程也沒有太多不適
術後的幾天幾乎沒有明顯疼痛
腫脹都在可接受範圍內,我的生活沒有被打亂太多
現在這顆臼齒補回來了,咀嚼終於不用再靠單邊了
我才發現原來少一顆牙影響這麼大,不只是吃東西
而是整個口腔與生活的平衡感
也很慶幸當初有聽進同事的推薦,走進了聖偉牙醫
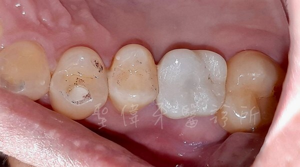
▼植牙後這排家人們都肩並肩啦
真的做得很不錯,超級自然的

如果你跟以前的我一樣,對看牙有一點抗拒
或是一直遲遲沒有處理缺牙問題
真的很推薦中山區這家聖偉牙醫
林子揚院長的耐心、專業與真誠
會讓你慢慢卸下心防,願意好好的照顧牙齒健康