
電話中跟阿公約好周五下班回去老家看他,
因為工作在北部久久才回去一次,
阿公非常開心地跟我說要趕緊去買菜,
煮我最愛的番茄排骨湯。

終於等到下班時間,
一心只想趕緊回家喝阿公滿滿愛心的熱湯。
到了老家後,阿公給我一個溫暖的擁抱,
叫我趕緊去洗手準備吃飯。
坐上餐椅,終於可以好好享用眼前這桌美食!
邊吃邊跟阿公聊天,
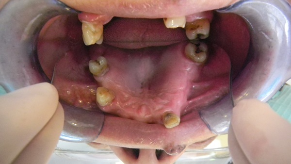
發現他咬排骨的時候很是吃力,
說他老了牙齒不中用,
甚至已經有好多顆缺牙,
才發現原來我都沒有關心到他的健康 (真是不孝女)

陸續有聽長輩去做植牙的經驗,
知道植牙費用是個壓力,不過我想有在賺錢,
也有些存款,想起小時候阿公總是把最好的留給我,
就下定決心,要帶阿公去做植牙。
於是除了詢問長輩的意見外,
自己也花了些時間去做功課,
諮詢很多間診所,
最後選擇位在台中北區的游牙醫,為什麼呢?接下來請聽我娓娓道來…

【游牙醫診所】
■LINE@搜尋ID::@025uwjxq
■LINE@加入網址:https://lin.ee/ZVVdZ7I
■臉書紛絲團:https://www.facebook.com/025uwjxq
■電話:04-22035431
■地址:台中市北區健行路827號
■公車站資訊:健行民權路口18、35、70、70B、77號公車皆可到達
我在網上看了好幾間診所,大多都是需要致電預約,但覺得很麻煩,也不太喜歡跟別人講電話,看到游牙醫他們有賴好友,
可以直接在上面預約,對我來說是一大福音。
再者,他們回覆訊息的時間真的快到不行,
大概5分鐘內就完成預約了,於是我就帶著阿公到游牙醫做植牙諮詢。
過程中植牙專科朱醫師先看過阿公口腔狀況,
並建議我們幾項合適的全口重建治療方式,
護士小姐姐也稍微把人工植牙的過程、材質和植牙品牌跟我們介紹了下,
不同位置的牙齒要使用的植體也不相同,整體解說得很詳細也很有耐心,
在諮詢完經過家人的討論後,我們決定就讓阿公在游牙醫做植牙療程。

游牙醫位在北區健行路上,麻雀雖小五臟俱全,
雖然診所不大,但設備很齊全。
一進門可以看到,色調溫暖的候診區,
來這裡就像在家一樣放鬆舒適,完全沒有看牙的緊張感。

每位進入診所的患者或家屬,都必須測量體溫,雙手消毒與配戴口罩。
在看診器具上也是每人獨立器具,定期消毒確保防疫與衛生。
看的出來他們很重視環境清消,在疫情期間清潔衛生非常重要!
讓我們覺得很安心😊

之前爬文看到很多人說植牙不要貪小便宜,要找就找植牙權威,
最後來游牙醫找到朱裕華醫師幫忙阿公植牙,
從諮詢到療程的過程中,醫師都表現得很專業讓我們覺得很放心。
歷時半年的療程
經過朱醫師診斷阿公全口重建植牙傷口恢復情況良好,
這禮拜已經裝上正式假牙

術後阿公說終於可以好好咬蘋果!(歡呼)
看到他安心地吃想吃的東西,終於能放下心中那塊大石頭!
根據阿公這次的植牙經驗,我想分享上來及反思,
有多久沒有關心從小疼愛我們的長輩?
在離鄉背井出外工作的時候,記得打通電話回去
哪怕只是幾分鐘,長輩們一定都會很開心的!
我已經跟阿公約好一個月至少回去看他一次~

對了,游牙醫朱醫師提醒植牙後要定期回去追蹤牙齒狀況,
每半年定期回診檢查可以讓牙齒有更完善的健康保固~
此外,植牙後應要讓傷口休養,不要激烈運動。
飲食方面,以溫涼流質食物為原則,手術後儘量吃流質食物為主,像是豆腐、蒸蛋等,不要用傷口處進食;2個禮拜後再吃比較軟的飲食,例如麵類、麵包等,1個月後再恢復正常進食喔!
游牙醫牙醫是個很用心又關心患者的診所,所以我決定無私分享上來給大家~

【游牙醫診所】
■LINE@搜尋ID::@025uwjxq
■LINE@加入網址:https://lin.ee/ZVVdZ7I
■臉書紛絲團:https://www.facebook.com/025uwjxq
■電話:04-22035431
■地址:台中市北區健行路827號
■公車站資訊:健行民權路口18、35、70、70B、77號公車皆可到達