
牙齒整不整齊的確會影響自信,
是的!自小就遺傳媽媽牙齒凌亂的問題….
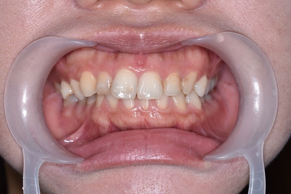
凸凸虎牙笑起來雖可愛,
其他幾顆門面牙也因虎牙影響有些排列不整。
去年暑假看到大二學妹做牙齒矯正戴隱形牙套半年,
就像去做整形一樣換了個人,
四月拆掉牙套學妹感覺變得非常有自信!
不僅與人交談大方面帶笑容,
排列整齊牙齒燦笑毫不用遮掩,
被激勵下決定今年暑假打工要投資自己做牙齒矯正。


矯正前做足許多功課,
市面上牙齒矯正主要分成兩大類型:
【金屬矯正器VS隱形矯正器】
這兩種矯正器經過身邊同學們體驗分享,
得票率最高的就是『隱形牙套』
平時看診的游牙醫診所,
吳佾憲醫師有跟我介紹過隱形牙套,
當時已經十分心動,
礙於前段時間趕報告關係遲遲沒下定決心,
趕在期末結束前直接先用賴預約吳醫師時間,
LINE@加入網址:https://lin.ee/ZVVdZ7I
對有社交障礙的I人來說,
看牙約診能用賴預約簡直一大福音。

游牙醫除了預約可以使用賴很便利外,
門口就有公車站牌:35 / 70 / 70A / 77都能搭乘到達,
Google交通路線:
診所地址:台中市北區健行路827號
建議看診前可以電話先預約:04-22035431
不然臨時前往診所有時候不是自己習慣的醫師會白跑一趟,
所以看診前都會先跟護理師確認好時間才前往。

吳佾憲醫師是看過牙醫當中數一數二的帥氣小鮮肉醫師,
做矯正前期需要先治療口腔內所有蛀牙及洗牙,
然後經歷取模討論矯正時程計畫,
以及後續取牙套時間、隱形矯正付款方式,
因為矯正牙套是大廠牌-隱適美
取模方式也跟以往有些不同是採用數位口掃取模,
幾聲嗶嗶聲後螢幕上就能顯現出每個牙齒排列樣貌,
牙齒、牙齦組織好壞通通一覽無遺。

在口掃取模時因為需要取得完整數據,
當時張口不小心嚥到口水嗆了一下,
差點咬到吳醫師的手,
不是先關心自己的手有沒有受傷,
反倒醫師非常有耐心安撫,
並親切和緩詢問『有沒有需要先休息一下』
這暖暖舉動瞬間被收服~~

因為智齒在幾年前已經拔掉,
前牙也不會過於凌亂,
經過吳醫師與隱適美討論後,
建議了『隱適美輕矯正』
所謂輕矯正牙套就是針對牙齒凌亂程度不是太嚴重的人,
相對性牙套數量也不是太多,
整體矯正價格就會便宜許多呦!


隱形矯正優點一:矯正費用不用一次性付清款項,
每次拿牙套前護理師會提醒收費,
大約是1-1.5月需要支付一次費用。
隱形牙套優點二:方便摘取牙套刷牙及吃東西,
吃完飯稍微漱口再把牙套戴上就好,
因為容易拆托牙齒都能清潔得很乾淨,
一天至少配戴22小時即可。
(有同學戴金屬矯正器,常常被金屬線刮嘴不說,後來還產生不少蛀牙)
隱形矯正優點三:透明外型牙套,
若沒有靠近看別人有時根本不會發現戴著牙套。
基於上述幾項優點,
加上吳醫師真得是過去遇過的好牙醫,
所以接下來的牙齒矯正計畫,
就交給吳佾憲醫師陪伴我慢慢渡過囉!
醫師聯繫方式放在下方,
如果你也再找矯正醫師可以參考一下啦!!

『隱適美矯正醫師-吳佾憲醫師』
游牙醫診所-約診電話:04-22035431
診所地址:台中市北區健行路827號